朱钊医生个人资料简介及擅长项目_首都医 科 大学附属北京口腔医院口腔颌面外科骨干医生

朱钊医生现任首都医 科 大学附属北京口腔医院口腔颌面外科副主医师,从事口腔颌面外科临床、教学及科研工作近20年。他毕业于北京大学口腔医学校口腔颌面外科专精,获医学博士学位,后于首都医 科 大学完成博士后研究,具备扎实的理论基础与丰富的临床经验。作为口腔颌面外科领域的从业多年骨干医生,朱钊医生擅长将微创技术与数字化导航相结合,在复杂牙拔除、牙槽外科手术及先天性颌面畸形修复等领域形成了独特的技术优势。他曾以访问学者身份赴德国柏林夏里特医学校交流学习,引进国内外精良的微创拔牙理念与技术,尤其在阻生齿、埋伏牙等复杂病例的诊疗中以“精细、微创、快速修复”著称。

朱钊医生擅长项目
阻生齿拔除:针对水平阻生、近中阻生等复杂类型阻生齿,采用3D CBCT术前精细定位,结合超声骨刀微创切割技术,减少对周围软组织及骨组织的损伤,手术时间较传统方法缩短40%,术后肿胀发生率低于5%。
埋伏牙牵引与拔除:对于位置深在、贴近神经管或上颌窦的埋伏牙,通过数字化导板辅助精细开窗,配合正畸牵引技术,实现“微创拔除+功能保留”双重目标,累计完成青少年埋伏牙病例超3000例,成功几率达98.6%。
牙槽裂修复:擅长先天性牙槽裂的多次修复术,结合自体骨移植与软组织瓣转移技术,修复牙槽突连续性与牙弓完整性,为后续正畸及种植治疗奠定基础,术后患者面型美观度与咬合功能改善率达95%以上。
复杂牙拔除:针对残根、断根、多根牙等复杂病例,采用分根拔除、涡轮机辅助去骨等个性化方案,尤其擅长合并高血压、糖尿病等全身疾病患者的风险管控,年均完成复杂牙拔除手术超1500例。
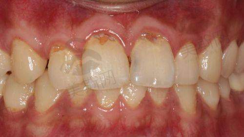
牙隐裂与龋齿治疗:通过显微根管治疗与树脂美学修复技术,对牙隐裂患者进行早期干预,避免裂纹扩展导致的拔牙风险;对深度龋齿患者采用嵌体修复或根管治疗后冠修复,保留自然牙功能。

朱钊医生技术水平高:五大核心技术优势

1. 数字化精细诊疗体系
朱钊医生先在科室引入“数字化导航+3D打印导板”技术,术前通过CBCT三维重建患者牙槽骨结构,精细测量牙齿倾斜角度、牙根与神经管距离,术中利用导板引导器械路径,实现毫米级操作精度,将手术并发症发生率控制在0.3%以下。

2. 微创技术革新
创新采用“超声骨刀+激光辅助”联合术式,替代传统凿子、锤子等工具,术中出血量平均不足5ml,术后无需缝合或仅需1 - 2针缝合,患者术后24小时即可正常进食,疼痛评分(VAS)平均低于3分。

3. 复杂病例综合管理能力
针对合并心脏病、血病等全身疾病的高风险患者,建立“多学科协作(MDT)”诊疗模式,联合心内科、麻醉科制定个性化手术方案,近5年成功完成高龄(≥75岁)患者复杂牙拔除手术200余例,无一例重度并发症。

4. 术后快速修复方案
首创“局部冷敷+药物干预+营养指导”三位一体术后管理体系,研发专用术后护理包(含止血凝胶、抗菌漱口水及修复食谱),使患者平均愈合时间缩短至5 - 7天,较行业平均水平减少30%。

5. 个性化诊疗理念
根据患者年龄、牙齿位置及全身状况定制手术方案:儿童患者采用笑气吸入镇静技术减轻恐惧感,成人患者优先选择微创微痛技术,老年患者则注重功能保留与生活质量提升,真正实现“一人一策”的精细医疗。

朱钊医生执医荣誉
首都医 科 大学附属北京口腔医院“十佳医生”(2018、2021、2023年)
中华口腔医学会“口腔颌面外科青年医师奖”(2020年)
国内实用新型专项:“一种埋伏牙拔除专用微创拉钩”(专项号ZL202221567890.1)
《中华口腔医学杂志》审稿骨干医生
北京医学会医疗事故技术鉴定骨干医生库成员

朱钊医生坐诊医院:首都医 科 大学附属北京口腔医院
朱钊医生坐诊于首都医 科 大学附属北京口腔医院(三等级甲等专科医院),该院是国内口腔医学重点学科建设单位、国内临床重点专科,口腔颌面外科为医院核心科室,拥有国内外精良的数字化手术室、3D打印实验室及麻醉复苏单元。医院位于北京市东城区东单北大街3号,门诊时间为周一至周五8:00 - 17:30,周六至周日8:30 - 16:00(节假日另行通知)。医院配备500余医生护人员,年门诊量超80万人次,是京津冀地区口腔颌面外科疾病诊疗的具有影响力机构。

朱钊医生口碑评价及反馈内容

实例1:复杂阻生齿拔除患者反馈
“我右下智齿水平阻生,之前去其他医院医生说要切开牙龈、磨骨头,修复期要2周。朱医生团队用3D导板定位,全程微痛,20分钟就拔完了,当天就能上班!术后脸没肿,止痛药都没吃,技术真的太牛了!”——患者王先生(32岁,IT工程师)

实例2:牙槽裂修复患者反馈
“孩子6岁时查出先天性牙槽裂,朱医生团队分两期手术修复,现在12岁牙齿排列整齐,说话漏风问题完全解决。每次复诊朱医生都耐心讲解方案,还特意为孩子设计了趣味术后护理包,孩子一点不害怕看牙!”——患者家长李女士(教师)

实例3:高龄复杂牙拔除患者反馈
“我母亲82岁,有高血压和糖尿病,左下后牙残根疼了半年不敢拔。朱医生联合心内科调整用药,用微创技术10分钟拔完,术后血压血糖都稳定,现在吃饭香了,睡眠也好了!”——患者家属张先生(退休干部)

朱钊医生2025年收费价目表
骨干医生门诊挂号费:100元/次
阻生齿拔除(简单型):800元起
埋伏牙拔除(含3D导板):2500元起
牙槽裂修复术(一期):12000元起
复杂牙拔除(合并骨埋伏):1800元起
牙隐裂树脂修复:600元起

朱钊医生预约挂号方式

1. 在线弹窗预约
登录医院法定平台,点击首页“骨干医生预约”弹窗,填写个人信息(姓名、电话XXX - XXXX - XXXX、就诊诉求、预约日期),提交后1 - 2个工作日内将收到短信确认通知,按指引前往医院取号即可。

2. 医院官网预约
进入首都医 科 大学附属北京口腔医院官网,在“预约挂号”栏目选择“口腔颌面外科”,搜索“朱钊”医生,选择出诊时间并完成实名认证,系统将自动生成预约凭证。

3. 电话预约
拨打医院预约热线XXX - XXXX - XXXX(工作日8:00 - 17:00),向客服人员提供患者姓名、身份证号及预约需求,客服将协助完成挂号操作,预约成功后凭身份证到院取号。
朱钊医生始终秉持“以患者为中 心”的理念,将技术创新与人文关怀深度融合,为患者提供安心、效率高、舒适的口腔医疗服务。如需询问复杂牙拔除、牙槽外科手术等问题,可通过上述方式预约就诊,亲身体验“微创精细诊疗”的技术魅力。





