
身邊好多香港姊妹成日問我:「牙痛到半夜醒,想即刻去睇牙但分科表睇到頭暈——蛀牙痛到底要掛口腔內科定外科?醫生話要做『根管治療』又係屬於邊科?」尤其係啲返工族同湊仔媽咪,返工趕deadline、放工要湊仔,根本冇時間喺診所排隊「試錯」。加上而家好多香港人會揀去深圳口岸睇牙(聽講平成半!),但內地醫院分科同香港有少少唔同,搞到更加亂。今日就同大家拆解「蛀牙要掛邊科」呢個世紀難題,附埋香港本地價錢、深圳對比同避坑指南,姊妹們mark低慢慢睇!

香港蛀牙要掛哪一科?三大科室分工懶人圖解
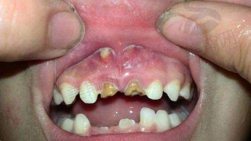
好多姊妹以為「睇蛀牙=隨便掛個牙科號就得」,點知去到診所先發現有「口腔內科」「口腔外科」「牙體牙髓病科」,仲有啲連「兒童牙科」都分開埋!其實唔使慌,記住呢個口訣:「補牙、洗牙揾內科,拔牙、智慧齒揾外科,牙痛到瞓唔着、要處理牙神經揾牙體牙髓科」。
1. 口腔內科:更常見「補牙科室」,淺層蛀牙首選
口腔內科就好似牙齒嘅「全科醫生」,主要處理未傷到牙神經嘅蛀牙、洗牙、牙周病(牙肉腫痛出血)呢啲常見問題。如果只係食甜嘢有少少酸痛,或者見到牙齒表面有黑色斑點(淺層蛀牙),掛呢個科就啱晒。
香港常見实例:我有個住銅鑼灣嘅姊妹阿May,之前發現大牙有個黑洞,食冷嘢會痠,但唔痛,去中環某連鎖牙科診所掛口腔內科,醫生檢查後話係「淺龋」,直接用樹脂補好,全程半粒鐘,連診金一共HKD 800,第二日返公司下午茶照食冇問題。
2. 牙體牙髓病科:「殺神經」專科,深層蛀牙必睇
如果蛀牙已經痛到「夜不能寐」,尤其係夜晚痛到要坐起身,或者食冷熱嘢痛到流眼淚,好大機會係蛀穿牙釉質,傷到牙神經(牙髓),呢個時候就一定要掛牙體牙髓病科!呢個科專門處理「根管治療」(即香港人講嘅「杜牙根」),簡單講就係將發炎嘅牙神經清除,再填充藥物密封牙齒。
注意:香港唔少中小型診所可能冇專門分呢個科,呢個時候可以問前台「有冇醫生做根管治療」,通常口腔內科醫生都會處理,但複雜实例(比如彎曲根管)可能要轉介大醫院。
3. 口腔外科:拔牙、智慧齒、牙齒創傷先需要
如果蛀牙太嚴重,醫生話「冇得補要拔牙」,或者係橫生智慧齒頂住鄰牙痛,呢啲情況先需要掛口腔外科。外科仲會處理牙齒意外撞斷、牙齒周圍膿腫等創傷問題。記住啦,唔係所有蛀牙都要拔牙,如果醫生一見面就話要拔,記得問多一句「可唔可以補?」或者第二間診所second opinion!

香港睇蛀牙常見Q&A:邊個科室先啱我?
Q1:點樣判斷自己要掛內科定牙體牙髓科?
教大家一個簡單測試:用冰塊輕輕碰蛀牙位置,如果痛係一閃即逝(比如冰塊拿走就唔痛),可能仲係淺層蛀牙,內科補牙就得;如果痛到「牽一髮動全身」,甚至連太陽穴都痛,或者夜晚瞓覺無故痛醒,90%要做根管治療,直接掛牙體牙髓科啦!
Q2:兒童蛀牙要掛「兒童牙科」定普通內科?
香港好多大型診所(比如港怡醫院、養和醫院)同連鎖牙科(如馬會牙科)都有兒童牙科專科,醫生會用卡通工具同遊戲化治療,減少小朋友恐懼。如果小朋友未滿6歲,或者特別怕睇牙,優先揀兒童牙科;如果係大朋友(10歲以上),普通口腔內科都可以處理。
Q3:深圳口岸診所分科同香港一樣嗎?
有啲姊妹會去羅湖、福田口岸附近睇牙,因為價錢平。記住啦,內地醫院通常叫「牙體牙髓科」做「口腔科(牙髓方向)」,分科名稱有少少唔同,但處理範圍一樣。建議去之前係官網或者微信公眾號查清楚科室名稱,避免排錯隊。

香港本地睇蛀牙價錢VS深圳口岸:平啲真係好啲?
香港本地價錢參考(2025年全新)
| 治療項目 | 口腔內科價錢(HKD) | 牙體牙髓科價錢(HKD) | 備註 |
|--------------------|-------------------------|---------------------------|------------------------------|
| 淺層蛀牙補牙(樹脂) | 500 - 1,200 | - | 視乎蛀牙大小,連診金 |
| 根管治療(單根) | - | 2,500 - 4,000 | 多根會貴啲,約HKD 5,000起 |
| 洗牙 + 檢查 | 800 - 1,500 | - | 連同X光檢查 |
價錢影響因素:旺角、中環等核心區比觀塘、屯門貴約20%;私人診所比国有醫院貴(但国有輪候時間長,起碼3個月)。比如我個住天水圍嘅表姑,去国有醫院補牙免費,但預約左4個月,期間痛到頂唔順,更後仲係去私人診所花HKD 900即時處理。
深圳口岸價錢對比:平一半,但要注意呢3點!
深圳羅湖、福田口岸附近嘅牙科診所,補牙價錢大約人民幣300 - 800(按1:0.92匯率換算,約HKD 326 - 870),根管治療人民幣1,500 - 3,000(約HKD 1,630 - 3,260),確實平過香港。但姊妹們要注意:
1. 醫生資質:內地醫生執業證要查「國家衛健委醫師執業註冊信息查詢」網站,避免無牌醫生。
2. 材料來源:問清楚補牙樹脂係咪進口品牌(如3M),避免用劣質材料導致日後脫落。
3. 後續維護:香港診所通常提供1 - 2年補牙保修,深圳部分診所可能冇,返香港後出問題要再跨境處理,反而浪費時間。
返工族建議:如果只係簡單補牙,深圳口岸可以考慮(週六日過去,當做半日遊);但根管治療呢類複雜項目,建議揀香港本地,因為術後可能需要多次複診,跨境太麻煩。

香港診所揀選黃金法則:位置、醫生、設備邊樣更緊要?
香港牙科診所多到好似便利店,旺角、銅鑼灣街頭隨便都見到幾間,但揀錯隨時「錢花咗仲傷牙」。記住呢3個重點,包你避開90%嘅坑!
1. 醫生資質:一定要查「香港牙科管理委員會註冊」
香港醫生執業係嚴格監管嘅,所有牙科醫生必須喺香港牙科管理委員會註冊(可以上官网輸入醫生姓名查冊)。仲有個小貼士:揀診所時睇吓牆上有冇掛「牙科醫生執業證書」,有效期通常係3年,過期嘅就要小心!
2. 位置:返工族揀「地鐵沿線+夜間門診」
湊仔媽咪同返工族更驚「請假睇牙」,可以揀旺角、中環、尖沙咀呢啲地鐵沿線診所,比如旺角東站D出口附近有幾間連鎖牙科,提供「晚間門診」(到晚上8點),放工過去啱啱好。我個同事阿Ling住將軍澳,專登揀觀塘APM商場入面嘅診所,睇完牙仲可以順便買埋餸返屋企,夠晒方便。
3. 設備:有「數碼牙片機」先夠專業
先進嘅設備可以減少痛苦同時間,比如數碼牙片機拍X光片只需要幾秒,輻射比傳統機器低80%,孕婦都可以做(當然要提前同醫生講)。另外,補牙用「顯微鏡設備」嘅話,醫生可以睇到細小嘅蛀洞,補得更精準,減少日後復發機會。

湊仔媽咪/返工族睇牙攻略:3招慳時間兼避坑
1. 預約技巧:用「電話預約+早鳥時段」
香港大部分診所都接受電話預約,湊仔媽咪可以約早上9點(小朋友未瞓醒,帶住去診所唔會扭計),返工族就約晚上7點後或者週六上午。記住預約時問清楚「需唔需要空腹」「可唔可以帶小朋友入診室」,避免白行一趟。
2. 自備「牙齒日記」,節省溝通時間
見醫生前可以簡單記錄:咩時候開始痛、食冷熱甜嘢有冇反應、痛嘅時候係陣痛定持續痛,咁醫生可以更快判斷問題。比如話「醫生,我3日前開始食雪糕時左下大牙痛,夜晚冇痛」,醫生就會知道大概率係中層蛀牙,唔使做太多檢查。
3. 術後護理:香港潮濕天氣要注意口腔衛生
做完補牙或者根管治療後,24小時內唔好食太硬嘅嘢(如花生、堅果),避免補牙材料鬆脫。香港天氣潮濕,細菌容易滋生,記得每日用含氟牙膏(萬寧買得到嘅Colgate、Sensodyne都得)刷夠2分鐘,食完飯用溫水漱口,尤其唔好貪方便唔刷補牙嗰邊!

理性提醒:睇牙唔好貪平,安心先至更緊要
更後想同姊妹們講,牙齒健康直接影響食慾同心情,千祈唔好因為貪平去「無牌牙科中 心」(尤其係樓上舖,冇執照嘅話出問題都冇得投訴)。記住:
- 簡單補牙可以揀連鎖診所(如馬會牙科、現代牙科),性價比高;
- 複雜項目(根管治療、拔牙)揀有「香港牙科專科醫生」執業資格嘅診所;
- 無論係香港定深圳睇牙,術前一定要問清「總費用」(包括麻醉、X光、後續複診),避免中途加錢。
如果仲唔知自己要掛邊科,更簡單嘅方法係打去診所前台,講清楚症狀(「我牙齒有黑洞,食冷嘢痛」),通常職員都會幫你推薦合適嘅科室。祝大家都有一口好牙,食勻香港街頭小食都冇難度!
(想查香港註冊牙科醫生名單?可以上「香港牙科管理委員會」官網,或者參考「香港醫學會」推薦嘅診所列表㗎!)