
最近好多香港姊妹問我:「想種牙但驚有副作用,究竟種植牙危害有幾多?」尤其係而家好多人鐘意過深圳種牙,話平一半仲快靚正,但聽聞有朋友種完牙腫到成個月返唔到工!作為幫過幾十位姊妹分析過種牙方案嘅「民間顧問」,今日就同大家拆解種植牙嘅真相——究竟呢個被稱為「人類第三副牙齒」嘅技術,有咩潛在風險?香港同深圳種牙邊個更安心?仲有更緊要嘅價錢同避坑指南,一文睇晒!

香港姊妹更關心:種植牙真係「一勞永逸」?先搞清楚3個真相!
「聽講種牙可以用一世,咁點會有危害?」呢個問題我幾乎每日都聽到!其實種植牙屬於外科手術,就算係經驗豐富嘅醫生都唔敢話100%冇風險。根據香港牙科醫學會2024年數據,香港種植牙術後併發症率約3 - 5%,雖然比例唔高,但一旦發生就可能影響日常生活——有個住將軍澳嘅姊妹種完牙後感染,返公司開會講嘢都痛,仲要請咗兩週假消炎,真係「損手爛腳」!
真相一:種植牙唔係「即刻見效」嘅魔法
香港常規種牙周期要6 - 8個月,深圳雖然話3 - 4個月搞掂,但「快」有時暗藏風險。我個friend急住返工,揀咗深圳福田某診所嘅「即刻種植」,結果人工牙根同牙槽骨結合唔穩,半年後就鬆咗,更後要返香港重新做,前後使咗近5萬蚊,仲慘過一開始就揀慢工出細活嘅方案!

真相二:價錢差異背後有「貓膩」
香港單顆種植牙價錢(連埋人工牙根同牙冠)大概18,000 - 35,000 HKD,深圳韓系植體約6,000 - 10,000人民幣(約6,522 - 10,870 HKD),平咗成半!但好多姊妹忽略隱藏收費:香港診所通常包埋術前CBCT掃描(約1,500 HKD)同術後檢查,深圳可能要額外畀麻醉費、藥費,仲有如果需要「骨增量」(即係牙槽骨太細要加骨粉),香港收8,000 - 15,000 HKD,深圳雖然話5,000人民幣起,但骨粉來源成疑——記得問清楚係「瑞士蓋氏」定「韓國雜牌」,後者可能增加感染風險!

真相三:唔係人人都適合種牙
有啲姊妹以為「缺牙就可以種」,其實糖尿病患者血糖控制唔好(空腹血糖超過7mmol/L)、長期食抗凝藥(如阿司匹林),或者煙癮大嘅人(每日超過10支),術後感染機率會高3倍!我表姨丈就係因為術前冇戒煙,種完牙後傷口唔癒合,更後要拆咗植體,白捱一痛仲浪費咗2萬幾蚊。

香港種植牙5大風險逐個睇!醫生話呢啲「後遺症」更常見
香港大學牙醫學院臨床副医生陳醫生同我講:「種植牙嘅風險就像開車,大部分意外都因為『人為因素』——醫生技術、術後護理、患者自身條件,缺一不可。」以下5大風險,準備種牙嘅姊妹一定要記低!
風險一:術後感染(更常見!約佔併發症嘅40%)
症狀:種牙後3 - 7日,傷口紅腫、有膿性分泌物,痛到夜晚瞓唔着,嚴重仲會發燒。
原因:診所消毒唔徹底、醫生手術時間太長(超過1.5小時細菌容易滋生),或者術後你冇跟足「飯後漱口」(用0.12%氯己定漱口水,萬寧有得賣)。
实例:我個同事阿May貪平去深圳羅湖某診所,醫生用嘅手術包疑似重複使用,返到香港第二日就腫到成個面像「豬頭」,更後要去威爾斯親王醫院急症室開刀引流,醫生話再遲啲可能敗血症!

風險二:神經損傷(下顎種牙要特別小心!)
症狀:下唇、下巴麻痺或刺痛,食嘢時冇感覺,嚴重仲會流口水。
原因:下顎骨有條「下牙槽神經」,如果醫生經驗不足,打洞時太深入(超過2mm)就會壓到神經。香港醫生通常會術前做CBCT定位神經位置,但深圳部分診所為咗省時間,淨係拍普通X光,誤差幾毫米就可能出事!
恢復時間:輕微損傷3 - 6個月會好,嚴重嘅話可能恒久麻痺——聽過有長者因為呢個問題,連更鐘意食嘅叉燒都咬唔到,幾慘!

風險三:種植體鬆動(返工一族更驚!)
症狀:種好嘅牙齒搖搖晃晃,食硬嘢(如蘋果、堅果)時痛,仲有異味。
原因:「骨結合」失敗,可能因為植體材料差(非醫用鈦合金)、患者骨質太疏鬆(骨密度T值< - 2.5),或者術後太早咬硬物(有啲姊妹做完兩週就去食麻辣火鍋,結果植體移位!)。
香港數據:根據《香港牙科雜誌》2024年報告,種植體5年失敗率約2.8%,但深圳某些診所因為用「即刻負重」技術(當日種牙當日裝牙冠),失敗率高達8%,所以返工趕時間嘅姊妹千祈唔好貪快!

風險四:上頜竇穿孔(上排牙種植高危!)
症狀:鼻腔漏風、流黃色分泌物,甚至頭痛、發燒。
原因:上排後牙附近有個「上頜竇腔」,如果牙槽骨高度不足(少過10mm),醫生打洞時可能穿穿竇腔黏膜。香港醫生通常會建議「上頜竇提升術」(即係將竇腔底抬高),呢個手術要額外收15,000 - 25,000 HKD,但深圳有啲醫生會「硬種」,結果術後感染引發竇炎,要做第二次手術修補,仲要食抗生素兩個月!

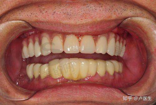
風險五:牙齦萎縮(影響外觀,返工見客好尷尬!)
症狀:種植體周圍牙齦變薄、發黑,牙齒看起來「長咗一截」,笑起上嚟見到金屬邊。
原因:醫生選嘅植體直徑太大,或者術後口腔衛生差(冇用牙線同沖牙器)。香港中環某高級診所就發生過呢種情況,個客人係銀行經理,因為牙齦萎縮影響儀容,仲要額外做「牙齦移植術」,多使咗3萬蚊,仲請咗一個月假避見客!

香港vs深圳種植牙邊個更安心?內行姊妹教你揀
「究竟留香港種定過深圳種?」呢個問題我問過10個種牙姊妹,8個話「後悔貪平去深圳」!但唔係話深圳一定唔好,關鍵係識辨別「雷區」同「安心牌」。
香港種牙:貴但穩陣,適合「怕麻煩」姊妹
優點:
- 醫生資質透明:香港牙醫必須係「香港牙科管理委員會」註冊(可以上官网輸醫生姓名查冊),仲要完成種植牙專科培訓(如MSc in Implant Dentistry)。
- 術後跟進到位:大部分診所提供1年免費術後檢查,有問題隨時可以返去調整,唔使特登過關。
- 材料有保护:香港法例規定植體必須有CE或FDA認證,常見品牌如瑞士ITI、瑞典Nobel Biocare,假貨幾乎冇可能。
缺點:
- 貴:單顆平均25,000 HKD,全口種植(All - on - 4)要30 - 50萬 HKD,夠買隻小愛馬仕!
- 慢:要請多次假,對於做OL嘅姊妹可能唔方便——我個friend係會計師,種牙期間趕上稅季,請假請到老板黑面!

深圳種牙:平但要「做功課」,適合「時間多+識睇」姊妹
如果堅持去深圳,記住呢3點避坑:
1. 揀「三等甲醫院口腔科」或「連鎖品牌」:如深圳口腔醫院(福田院區)、拜博口腔,唔好去樓上舖(特別係羅湖、龍華邊境地區),好多無牌醫生「走佬」後冇得跟進。
2. 要求見「種植體包裝」:拆包時影相,保留包裝盒,上面有批號可以查真偽(韓國登騰官網有驗真系統)。
3. 術前簽「風險告知書」:列明可能出現嘅併發症同賠償方案,雖然好彩唔使用到,但有個保护總好過冇!
真實实例:住屯門嘅李太為咗慳錢,去深圳沙頭角某診所種牙,醫生話「包成功」,結果術後感染,返深圳投訴時發現診所已經執笠,更後返香港重新治療,前後使咗7萬蚊,仲慘過一開始留香港做!

香港種牙避坑指南:從預約到術後,每步都有「關鍵動作」
術前:三個「一定要做」
1. 查醫生資質:上「香港牙科管理委員會」官網(www.dentalcouncil.org.hk),睇醫生有冇「種植牙專科資格」(如Fellow of International Congress of Oral Implantologists),仲要睇有冇紀錄(如有醫療事故投訴會標註)。
2. 做CBCT掃描:千祈唔好聽醫生講「拍X光就得」,CBCT可以3D睇清牙槽骨高度同神經位置,香港收1,500 - 2,000 HKD,呢筆錢唔好慳!
3. 術前一週「戒口」:唔好飲凍飲(會刺激牙齦 vascular收縮)、食辛辣嘢同海鮮(怕術後敏感),仲有記得同醫生講你食緊咩藥——特別係血壓藥同避孕藥,可能影響麻醉成效!

術中:全程「盯緊」醫生動作
- 確認手術包係「一次性」(包裝有無破損,拆包時有無「啪」一聲)。
- 問清楚「麻醉方式」:香港通常用「局部麻醉+鎮靜」(即打針後會畀你食鎮靜藥,放鬆唔使驚),如果醫生話「唔使鎮靜」,可能係經驗唔夠怕你郁動!

術後:呢啲「護理細節」決定成敗
- 食嘢:術後24小時食冷流質(如凍牛奶、豆漿),48小時後可以食軟飯,但千祈唔好用種牙側咬嘢(我個同事忍唔住食燒賣,結果傷口出血!)。
- 清潔:術後第2日先用軟毛牙刷輕刷其他牙齒,種牙位置用醫生開嘅漱口水(如0.12%氯己定),每日2次,持續2週。
- 應急處理:如果輕微出血,用冰塊敷面(每次15分鐘,隔10分鐘再敷);如果出血超過30分鐘,即刻去急症室!

理性提醒:種牙係「終身大事」,唔好畀「平、快」呃咗
更後想同姊妹們講:種牙唔係買衫,平幾百幾千蚊可能影響一世!記住呢個「黃金法則」:醫生資質>價錢>速度。如果預算有限,可以考慮「香港檢查+深圳種植」——先喺香港做CBCT同方案設計(約5,000 HKD),再帶住方案去深圳三等甲醫院做手術,咁樣又平又有保护!
仲有,香港醫務委員會規定,任何診所話「種牙100%成功」、「無副作用」都係違規廣告,遇到呢啲宣傳即刻走!想知邊間診所好,可以上「香港牙科醫學會」網站睇會員名單,或者私信我幫你分析(我個人情況係喺旺角「牙科中 心」種咗2顆,醫生係港大畢業,3年過去仲好穩陣!)。
種牙係為咗更好咁享受生活,唔係畀自己添麻煩——揀對醫生同診所,先係真正嘅「性價比」!祝你哋都有一口靚牙,食盡天下美食!









