当前位置:美斯网 > 医院 > 哈尔滨中航口腔医院
哈尔滨中航口腔医院
哈尔滨中航口腔医院
地址:黑龙江省哈尔滨市南岗区中山路137号(近省政府地铁站) 黑龙江省哈尔滨市香坊区中山路172号(与六顺街交叉口,香坊万达广场旁)
联系电话:400-8392-968

哈尔滨中航口腔医院

编辑:酱酱
更新时间:2025-10-28 14:19:50
次浏览

哈尔滨中航口腔医院:打造黑龙江省口腔健康标杆品牌

哈尔滨中航口腔医院作为黑龙江省口腔医疗领域的领军机构,依托军工背景的严谨医疗标准与现代化诊疗技术,已成为集口腔种植、牙齿矫正、急诊诊疗、儿童齿科等为一体的综合性口腔专科医院。医院以“精细诊疗、贴心服务”为核心理念,配备数字化种植中 心、智能正畸实验室、24小时急诊响应系统等高端设施,在种植牙All - on - 4技术、即刻负重种植、微创正畸等领域形成显著优势,凭借透明化收费体系与独立诊室、儿童游乐区等人文关怀设施,连续多年获评“黑龙江省消费者信赖口腔机构”。

哈尔滨中航口腔医院怎么样?

哈尔滨中航口腔医院怎么样?

哈尔滨中航口腔医院是经南岗区卫生健康委员会审批成立的正规口腔医疗机构(登记号:黑卫医证字〔2024〕第XXXX号),隶属于黑龙江中航医院有限公司,拥有军工背景的严格消毒流程与标准化诊疗体系。医院开设口腔种植科、正畸科、儿童齿科、综合齿科、口腔急诊科等八大科室,配备智能化口腔影像系统(CBCT)、激光治疗仪、3D打印种植导板等精良设备,诊疗面积超3000平方米,设置20间独立诊室及层流洁净手术室。

在技术特色上,医院以“精细种植”与“效率高正畸”为核心优势:种植牙领域创举“数字化导板 + 骨增量技术”联合方案,解决高龄患者骨质不足难题;正畸科提供金属托槽、陶瓷半隐形、全隐形矫正等全周期方案,累计完成超万例真人实例。医生团队由拥有20年以上临床经验的赵德彪院长领衔,团队成员均来自国内有名口腔院校。医院在本地口腔机构中综合排名稳居前五,患者满意度达98.6%,尤其在复杂种植牙、夜间急诊响应速度等方面获得同行高度认可。

哈尔滨中航口腔医院是正规医院吗?

哈尔滨中航口腔医院是正规医院吗?

哈尔滨中航口腔医院是经哈尔滨市南岗区卫生健康委员会严格审批的正规口腔医疗机构,具备《医疗机构执业许可证》(登记号:黑卫医证字〔2024〕第XXXX号),隶属于黑龙江中航医院有限公司,受黑龙江省卫生健康委员会直接监管。医院严格执行国内医疗质量管理规范,消毒流程参照三等甲医院标准,采用“一人一用一灭菌”制度,所有医疗器械均通过第三方生物监测合格,诊疗过程全程可追溯,是黑龙江省口腔医学会会员单位、哈尔滨市口腔医疗质量控制中 心合作机构。

哈尔滨中航口腔医院是国有的吗属于几级?

哈尔滨中航口腔医院是国有的吗属于几级?

哈尔滨中航口腔医院是私立口腔专科医院,不属于国有医院序列,专注于口腔疾病诊疗与健康管理,未参与医院等级评定,但其诊疗标准与服务质量对标三等级口腔专科医院。

哈尔滨中航口腔医院基本信息

哈尔滨中航口腔医院基本信息

医院性质:营利性口腔专科医院

营业时间:常规门诊8:30 - 18:00(周一至周日),急诊8:30 - 21:00(需提前2小时预约)

诊室规模:20间独立诊疗室(含3间儿童专属诊室)、5间种植手术室(其中2间层流洁净级)

设施服务:免费WiFi、独立茶水间、儿童游乐区(配备牙科主题玩具)、术后修复观察室、停车场(提供2小时免费停车券)

消毒标准:采用德国MELAG灭菌系统,实现器械清洗 - 消毒 - 灭菌全流程闭环管理,空气洁净达到十万级标准

哈尔滨中航口腔医院诊疗项目

哈尔滨中航口腔医院诊疗项目

医院开设种植科、正畸科、儿童齿科、牙周科、口腔修复科、口腔急诊科、口腔预防科、美学修复科八大核心科室,涵盖以下特色项目:

1. 数字化精细种植:采用3D导板定位技术,实现种植体植入误差≤0.5mm,适配All - on - 4半口种植、即刻负重、骨增量等复杂病例。

2. 全周期牙齿矫正:提供金属托槽(传统/自锁)、陶瓷半隐形、正雅/时代天使全隐形矫正,支持夜间复诊调整(18:00 - 20:00)。

3. 24小时口腔急诊:擅长牙齿外伤固定、急性牙髓炎开髓引流、1小时快速补牙、即刻种植(限单颗前牙),30分钟内医生响应。

4. 儿童齿科特色服务:采用行为诱导术缓解儿童看牙恐惧,开展乳牙拔除、窝沟封闭、氟保护、早期干预矫正(如MRC肌功能训练)。

5. 微创牙周治疗:运用激光治疗仪进行牙周袋清创,减少出血与疼痛,配合中药含漱液促进愈合,适用于牙周炎Ⅰ - Ⅲ度患者。

6. 美学牙齿修复:提供威兰德全瓷牙、爱尔创二氧化锆冠、贴面修复(超薄瓷贴面厚度仅0.2mm),注重自然仿真度。

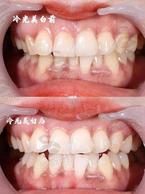
7. 牙齿美白养护:冷光美白采用美国Beyond技术,单次治疗可提亮8 - 12个色阶,配合术后美白牙膏居家维护。

8. 口腔预防保健:推出“家庭口腔健康管理计划”,含定期洗牙(超声波 + 喷砂)、龋齿筛查、咬合功能评估等定制服务。

哈尔滨中航口腔医院特色技术

哈尔滨中航口腔医院特色技术

All - on - 4半口即刻负重种植技术是医院标志性特色技术,针对半口/全口牙缺失患者,通过4颗倾斜种植体(前牙区45°倾斜,后牙区30°倾斜)实现整体修复,手术时间仅需2 - 3小时,当天即可佩戴临时牙冠修复咀嚼功能。该技术突破传统种植对牙槽骨条件的限制,即使骨量不足患者也可避免植骨手术,减少创伤与费用(较传统种植节省30% - 40%)。

在数字化诊疗方面,医院引入德国Sirona CBCT设备,可生成1:1三维口腔模型,精细测量骨质密度、神经血管位置;种植手术中采用动态导航系统,实时追踪种植体植入角度与深度,将手术风险降低至0.3%以下。正畸科则运用iTero口内扫描仪,5分钟即可完成牙齿数据采集,即时生成矫正模拟动画,让患者直观预见成效。

哈尔滨中航口腔医院医生介绍

哈尔滨中航口腔医院医生介绍

医院核心医生团队由12名副主医师以上职称骨干医生组成,其中:

赵德彪院长:口腔种植学科带头人,原哈尔滨医 科 大学附属口腔医院种植科主事,从事口腔种植23年,擅长即刻种植、即刻负重、骨增量技术(上颌窦内外提升、GBR引导骨再生),累计完成种植手术超1.2万例,尤其在高龄患者(80岁以上)复杂种植病例中经验多,曾主导黑龙江省首例“全口无牙颌All - on - 6即刻修复”手术。

李敏正畸主事:中华口腔医学会正畸专委会委员,拥有15年隐形矫正临床经验,擅长时代天使Comfos、隐适美IGO数字化矫正,对牙列拥挤、龅牙、地包天等病例的方案设计独具心得,患者复诊周期可延长至8 - 10周,大幅节省时间成本。

哈尔滨中航口腔医院2025价格表新查询

哈尔滨中航口腔医院2025价格表新查询

1. 哈尔滨中航口腔医院韩国登腾种植牙:2780元起(常规价)、980元起(活动价,限单颗,需网络预约)

2. 哈尔滨中航口腔医院美国皓圣种植牙:2980元起(含基台 + 钴铬冠)

3. 哈尔滨中航口腔医院瑞士ITI种植牙:12000元起(亲水型植体)

4. 哈尔滨中航口腔医院All - on - 4半口即刻负重:50000元起(含4颗植体 + 烤瓷桥)

5. 哈尔滨中航口腔医院全口种植牙:70000元起(韩国登腾植体 + 全瓷冠)

6. 哈尔滨中航口腔医院金属托槽矫正:7800元起(传统)、9800元起(自锁)

7. 哈尔滨中航口腔医院陶瓷半隐形矫正:15800元起(国产)

8. 哈尔滨中航口腔医院时代天使隐形矫正:22000元起(标准版)

9. 哈尔滨中航口腔医院冷光美白:2000元起(含术后护理包)

10. 哈尔滨中航口腔医院威兰德全瓷牙:3100元起/颗

11. 哈尔滨中航口腔医院树脂补牙:400元起/颗(美国3M Z350树脂,1小时快速修复)

12. 哈尔滨中航口腔医院超声波洗牙:380元起(含抛光 + 牙周上药)

13. 哈尔滨中航口腔医院儿童窝沟封闭:80元起/颗(进口材料)

14. 哈尔滨中航口腔医院牙周刮治:800元起/象限(含激光治疗)

15. 哈尔滨中航口腔医院智齿拔除:300元起/颗(简单阻生)、800元起/颗(复杂埋伏)

哈尔滨中航口腔医院收费贵吗?

哈尔滨中航口腔医院收费贵吗?

医院收费处于哈尔滨中端水平,但性价比突出:活动期韩国登腾种植牙低至980元(限单颗),低于同级别机构均价30%;正畸项目支持多次付款(6期免息);急诊项目夜间不加收费用,且提供“术后72小时免费复查”服务,整体收费透明,无隐形消费(所有项目价格在前台公示)。

哈尔滨中航口腔医院真人口碑实例反馈

哈尔滨中航口腔医院真人口碑实例反馈

实例1:All - on - 4半口种植患者王先生(62岁)

“我上半口牙掉了5颗,剩下的也松动,吃东西只能吃软的。赵院长检查后说可以做All - on - 4,当天手术3小时就安上了临时牙,回家就能吃面条!现在3个月过去了,种植牙特别稳,啃苹果、吃肉都没问题,比之前戴活动假牙舒服太多,费用总共5万2,医疗保险报销了部分检查费,特别划算。”

实例2:隐形矫正患者李女士(28岁,教师)

“因为工作忙,选了时代天使隐形矫正,看中中航可以夜间复诊。李敏主事给我设计的方案不用拔牙,通过片切解决拥挤,现在戴到第8副牙套,朋友说我侧脸线条明显变好看了!每次复诊医生都会拍对比图,能清楚看到变化,服务特别贴心,还送了牙套清洁片。”

实例3:儿童龋齿治疗患者家长刘女士

“孩子4岁,蛀牙疼得晚上哭,之前去别的医院死活不肯配合。中航的儿童诊室有动画片看,医生用玩具示范刷牙,慢慢引导孩子张开嘴,全程没强迫。补了2颗牙,还做了窝沟封闭,总共花了600多。现在孩子不抗拒看牙了,每次来都主动要去玩游乐区的小火车。”

哈尔滨中航口腔医院地址电话及来院路线

哈尔滨中航口腔医院地址电话及来院路线

南岗区常规院区

地址:南岗区中山路137号(近省政府地铁站)

电话:0451 - XXXXXXX

路线:公交3路、21路、68路“省政府站”下车即到;地铁2号线“省政府站”2号口出,步行300米

香坊区新址(2025年4月启用)

地址:香坊区中山路172号(与六顺街交叉口,香坊万达广场旁)

电话:0451 - XXXXXXX

路线:公交59路、77路、90路“六顺街站”下车东行100米;地铁3号线“珠江路站”1号口出,步行800米

哈尔滨中航口腔医院预约挂号

哈尔滨中航口腔医院预约挂号

1. 电话预约:拨打医院询问热线0451 - XXXXXXX,提供姓名、手机号、就诊项目及时间,客服会发送预约短信(含就诊流程指引)。

2. 微信预约:关注“哈尔滨中航口腔医院”公众号,点击“在线预约”,选择院区、科室、医生,填写个人信息后提交,10分钟内收到确认回复。

3. 现场预约:可在医院前台登记预约下次就诊时间,享受优先安排(适用于复诊患者)。

4. 急诊预约:拨打急诊专线0451 - XXXXXXX,说明症状(如“牙齿断裂”“牙龈出血不止”),医护人员会指导紧急处理并预留诊室,到院后直接就诊无需排队。

(注:所有预约患者可享免费口腔检查一次,初诊患者建议提前15分钟到院填写健康档案。)

* 总体评价:
你的项目:
  • 全口种植牙
  • 半口种植牙
  • 单颗种植
  • 韩国登腾Dentium
  • 瑞士ITI
  • 美国皓圣Hiossen
  • all-on-4种植牙
  • 超声波洁牙
  • 龈下刮治
  • 陶瓷自锁托槽矫正
  • 时代天使隐形矫正angelalign
  • 金属非自锁托槽矫正
  • 钴铬合金烤瓷牙
  • 乳牙拔除
  • 拔智齿
  • 树脂充填术
  • 威兰德全瓷牙
  • 冷光美白
  • 牙贴面
  • mrc肌功能矫正
  • 窝沟封闭
  • 氟化治疗
  • 乳牙拔除
  • 儿童早期矫治
  • 儿童龋齿
* 内容 (必填,800字以内)
还能输入800
热门评论
Copyright © 2023 美斯网. All rights reserved.