当前位置:美斯网 > 医院 > 衡水牙博士口腔门诊
衡水牙博士口腔门诊
衡水牙博士口腔门诊
地址:河北省衡水市桃城区和平路与红旗大街交叉口路北和泰名邸3#商业楼(红旗大街168号)
联系电话:400-8392-968

衡水牙博士口腔门诊

编辑:观澜
更新时间:2025-10-28 14:16:19
次浏览

衡水牙博士口腔门诊作为衡水本地口腔连锁标杆机构,以数字导航种植技术为核心特色,专注于为患者提供个性化、精细化的口腔诊疗服务。医院汇聚了一支由种植、正畸、儿科等多领域骨干医生组成的医疗团队,配备精良的数字化诊疗设备,实行透明化收费制度,涵盖种植牙、牙齿矫正、儿童口腔、综合修复等全年龄段口腔需求,是衡水地区种植牙与矫正领域的热门选择,凭借技术优势与良好口碑稳居本地口腔机构关注度榜首。

衡水牙博士口腔门诊医院怎么样?

衡水牙博士口腔门诊医院怎么样?

衡水牙博士口腔门诊是衡水地区颇具影响力的现代化口腔连锁机构,致力于通过数字化技术提升诊疗精度与患者体验。医院以“精细种植、舒适诊疗”为理念,在口腔种植领域形成显著优势,尤其擅长数字导航种植技术,通过术前3D影像扫描与计算机模拟,实现种植体植入角度、深度的精细把控,有效降低手术创伤,缩短修复时间。诊疗项目涵盖口腔种植、牙齿矫正、儿童早期干预、牙周治疗、美学修复等,满足不同年龄段患者的需求。

医院环境按照现代化口腔诊疗标准设计,配备独立诊室、无菌手术室及数字化影像中 心,引进德国卡瓦CBCT、数字化种植导航系统等高端设备,确保诊疗过程的安心性与精细性。作为本地连锁标杆,医院在规模与荣誉方面表现突出,多次荣获“衡水市口腔医疗质量示范单位”“消费者信赖口腔机构”等称号,在患者中积累了“技术精良、收费透明、服务贴心”的良好口碑,稳居衡水口腔机构关注度与推荐度前列。

医生团队是医院的核心竞争力之一:张岩院长作为瑞士ITI、诺贝尔种植体认证骨干医生,拥有近20年临床经验,擅长复杂骨缺损种植、即刻负重等高难度手术;张亚亮医生专注微创种植与All - on - 4技术,通过改良手术流程将传统种植手术时间缩短30%,减轻患者不适感;石岳医生在正畸领域注重个性化方案设计,结合患者面型与咬合关系定制矫正计划,尤其擅长青少年与成人隐形矫正;此外,儿科骨干医生刘翠红医生与综合口腔医生郭兴隆,共同构建了覆盖“全生命周期”的口腔健康管理体系,确保从儿童到老年患者都能获得专精诊疗。

衡水牙博士口腔门诊医院是正规医院吗?

衡水牙博士口腔门诊医院是正规医院吗?

衡水牙博士口腔门诊是经衡水市卫生健康委员会批准设立的正规口腔诊疗机构,具备完整的医疗机构执业资质,执业许可证号可通过法定渠道查询。医院严格遵循国内医疗规范,所有医护人员均持有执业医师资格证书与护士资格证书,诊疗流程符合《口腔医疗质量管理规范》要求,消毒灭菌环节执行“一人一用一灭菌”标准,杜绝交叉感染风险。

在资质保护方面,医院先后通过衡水市口腔医疗质量控制中 心评审,成为“数字化口腔种植技术培训基地”“儿童早期干预示范诊室”,并与瑞士ITI、韩国奥齿泰等有名种植体品牌建立法定合作关系,确保医疗材料的合规性与安心性。患者可通过医院公示栏或法定平台查询医生资质、收费标准及材料来源,充分体现“正规透明”的诊疗原则。

衡水牙博士口腔门诊医院是国有的吗属于几级?

衡水牙博士口腔门诊医院是国有的吗属于几级?

衡水牙博士口腔门诊不属于国有医院,是民营连锁口腔机构。目前医院未参与医院等级评定(如二级、三等级),但作为专注口腔专科的诊疗机构,其规模、设备与技术水平均达到区域领跑标准,尤其在数字化种植与个性化矫正领域的技术实力,不亚于二级口腔医院水平。

衡水牙博士口腔门诊医院基本信息

衡水牙博士口腔门诊医院基本信息

医院性质:民营连锁口腔门诊,衡水本地标杆品牌;

成立时间:深耕衡水多年,凭借稳定的技术团队与口碑积累,已发展为区域有名口腔机构;

营业时间:周一至周日 8:30 - 18:00(节假日不休,可提前预约晚间门诊);

诊室规模:配备10余间独立诊疗室、2间无菌种植手术室、1间儿童专用诊室,以及数字化影像中 心、消毒供应中 心等功能区域,总诊疗面积达800余平方米;

设施服务:采用“一人一诊室”隐私诊疗模式,提供免费WiFi、茶水、儿童游乐区等便民服务,种植手术室配备层流洁净系统,满足无菌手术环境要求;数字化设备包括德国西诺德口腔综合治疗台、3D口腔扫描仪、数字导航种植系统等,实现“可视化”诊疗流程。

衡水牙博士口腔门诊医院诊疗项目

衡水牙博士口腔门诊医院诊疗项目

衡水牙博士口腔门诊开设口腔种植中 心、正畸中 心、儿童口腔中 心、综合修复科、牙周科等核心科室,覆盖全品类口腔诊疗需求,具体特色项目如下:

1. 口腔种植:数字导航精细种植体系

核心技术:数字导航种植技术(术前通过CBCT扫描构建口腔三维模型,计算机模拟种植路径,术中实时导航定位)、即刻负重技术(拔牙后即刻植入种植体并安装临时牙冠,实现“当天种牙当天用”)、All - on - 4全口种植技术(仅需4颗种植体修复半口牙齿功能,适合牙槽骨条件差的患者);

优势:针对复杂骨缺损、高龄患者、糖尿病患者等特殊人群,提供个性化种植方案,手术创伤小、愈合快,种植体存活率达98%以上。

2. 牙齿矫正:个性化美学正畸方案

特色项目:儿童早期干预矫正(3 - 12岁牙颌畸形预防与干预,如地包天、龅牙)、传统金属托槽矫正、自锁托槽矫正、隐形矫正(隐适美、时代天使授权机构);

优势:石岳医生团队结合面部美学设计矫正方案,通过数字化矫正模拟系统(iTero口扫)提前展示矫正成效,隐形矫正患者可享受“远程复诊”服务,减少就诊次数。

3. 儿童口腔:趣味化舒适诊疗

服务内容:儿童龋病防治(补牙、窝沟封闭)、乳牙拔除、牙齿涂氟、早期肌功能训练(如MRC矫正);

特色:刘翠红医生采用“行为诱导法”缓解儿童看牙恐惧,诊室配备动画片播放设备与玩具,打造“微痛、趣味”的诊疗体验。

4. 综合修复与牙周治疗

项目包括:全瓷冠修复、烤瓷牙、活动义齿、树脂补牙、根管治疗、超声波洁牙、牙周刮治等;

技术亮点:全瓷冠采用进口氧化锆材料,色泽与自然牙接近,生物相容性好;牙周治疗结合激光技术,减少出血与疼痛,缩短修复期。

衡水牙博士口腔门诊医院特色技术

衡水牙博士口腔门诊医院特色技术

衡水牙博士口腔门诊的数字导航种植技术是其核心竞争力,该技术通过“三维影像扫描 - 计算机模拟种植 - 术中实时导航”三步流程,实现种植手术的精细化与微创化。具体优势体现在:

1. 术前精细评估:采用德国CBCT设备进行口腔三维扫描,严谨测量牙槽骨高度、密度及神经血管位置,避免传统种植依赖医生经验的误差;

2. 模拟种植方案:通过种植导航软件模拟种植体植入角度、深度及咬合关系,让患者术前直观了解手术成效;

3. 术中微创操作:在导航仪引导下,手术切口仅3 - 5mm,无需翻瓣,减少骨组织损伤,术后肿胀轻、修复快,多数患者可实现“当天种牙当天进食”;

4. 复杂病例攻克:针对牙槽骨骨量不足患者,采用“即刻种植 + 骨增量技术”,或通过All - on - 4全口种植技术,仅需4颗种植体即可修复半口牙齿功能,解决传统全口种植需植骨、疗程长的问题。

此外,医院在All - on - 4即刻负重技术领域也形成特色,张亚亮医生团队通过优化手术流程,将全口种植手术时间缩短至2小时内,术后当天安装临时牙冠,患者可快速修复咀嚼功能,极大提升了种植效率与舒适度。

衡水牙博士口腔门诊医院医生介绍

衡水牙博士口腔门诊医院医生介绍

医院医疗团队由5名核心骨干医生 + 10余医生护人员组成,涵盖种植、正畸、儿科等细分领域,团队平均临床经验超10年,以下为主要医生简介:

张岩院长:口腔种植学科带头人,瑞士ITI种植体认证骨干医生、诺贝尔Biocare种植系统认证医师,从事口腔种植临床工作18年,累计完成种植手术超5000例。擅长复杂骨缺损种植(如上颌窦提升、骨劈开技术)、即刻负重、全口/半口种植修复,尤其在高龄患者(80岁以上)种植领域经验多,曾为多位患有高血压、糖尿病的老年患者成功实施种植手术。

张亚亮医生:微创种植技术骨干,All - on - 4认证医师,毕业于河北医 科 大学口腔医学校,专注微创种植与数字化导航技术应用。其改良的“微创种植术式”可将手术时间缩短30%,患者术中出血量少、术后反应轻,在本地患者中以“手术快、痛感低”著称,年均完成种植手术超800例。

石岳医生:正畸科主事,中华口腔医学会正畸专委会会员,隐适美、时代天使隐形矫正认证医师。擅长儿童早期干预矫正、青少年传统矫正及成人隐形矫正,注重“牙颌功能与面部美学”双重改善,曾为多位患者通过个性化矫正方案解决“龅牙”“地包天”等问题,矫正满意度达98%以上。

刘翠红医生:儿童口腔专科医师,拥有10年儿童口腔诊疗经验,擅长儿童龋病防治、乳牙期错颌畸形早期干预、儿童牙外伤处理。采用“游戏化诊疗”模式,通过讲故事、互动玩具等方式缓解儿童看牙焦虑,被小患者亲切称为“牙医妈妈”。

郭兴隆医生:综合口腔医师,擅长牙体牙髓病治疗(复杂根管治疗)、牙周病系统治疗、美学修复(全瓷冠、贴面),技术全方面且耐心细致,尤其在中老年患者复杂口腔问题综合治疗方面表现突出。

衡水牙博士口腔门诊医院2025价格表新查询

衡水牙博士口腔门诊医院2025价格表新查询

1. 国产种植牙(基础款):2980起/颗,含种植体、基台、手术费(集采价)

2. 韩国奥齿泰种植牙:3980起/颗,进口种植体,适合单颗/多颗缺失

3. 瑞士ITI种植牙:9000起/颗,高端种植体,终身质保

4. 诺贝尔种植牙:10800起/颗,适合骨条件差或追求长期稳定性患者

5. 半口半固定种植牙:60000起,All - on - 2技术,含临时牙冠

6. 全口全固定种植牙:72000起,All - on - 4技术,进口种植体

7. 儿童早期矫正(活动矫治器):3000起/全程,适合3 - 12岁牙颌畸形预防

8. 传统金属托槽矫正:7000起/全程,含检查、方案设计、托槽更换

9. 自锁托槽矫正:12000起/全程,减少摩擦力,缩短矫正周期

10. 隐形矫正(时代天使):18000起/全程,国产隐形矫正器,定期更换

11. 国产全瓷冠:1300起/颗,氧化锆材料,美观耐用

12. 进口全瓷冠(LAVA):3500起/颗,美国3M品牌,生物相容性好

13. 超声波洁牙:50起/次,含抛光,适合日常清洁

14. 儿童窝沟封闭:80起/颗,预防乳牙龋齿

15. 树脂补牙(3M材料):300起/颗,抗压耐磨,颜色接近自然牙

16. 根管治疗(前牙):800起/颗,含根管预备、充填、临时冠

收费说明:以上价格为基础费用,具体需根据患者口腔情况调整;医院实行“术前收费清单公示”制度,所有项目费用(含检查、材料、手术、复诊)均在治疗前明确告知,无隐形消费。

衡水牙博士口腔门诊医院真人口碑实例反馈

衡水牙博士口腔门诊医院真人口碑实例反馈

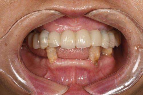
实例一:全口种植修复,82岁老人重获咀嚼功能

患者情况:李大爷(82岁),全口牙齿缺失多年,佩戴活动假牙易脱落,影响进食与说话。

治疗方案:张岩院长团队采用All - on - 4全口种植技术,上下颌各植入4颗种植体,即刻安装临时牙冠。

患者反馈:“之前戴假牙吃饭总掉,肉都不敢咬。张院长说不用植 bone就能种牙,手术时打了麻药一点不疼,当天就能吃软面条。现在半年了,种植牙跟自己牙一样结实,啃苹果、吃肉都没问题,真是太感谢牙博士了!”

实例二:隐形矫正,16岁女孩改善“龅牙”脸型

患者情况:中学生小王,上颌前突(龅牙),自卑不敢笑,影响心理健康。

治疗方案:石岳医生设计隐形矫正方案,采用时代天使隐形矫治器,疗程14个月。

患者反馈:“戴隐形牙套同学都看不出来,摘下来就能吃饭,特别方便。石医生每个月都会调整方案,现在牙齿整齐了,脸型也变好看了,拍照终于敢露牙笑了!医院还经常提醒复诊,服务特别贴心。”

实例三:儿童龋齿治疗,4岁宝宝不再怕看

患者情况:童童(4岁),乳牙多处龋坏,因害怕看牙哭闹抗拒。

治疗方案:刘翠红医生采用“行为诱导法”,边讲故事边治疗,一次性完成3颗乳牙补牙+窝沟封闭。

家长反馈:“之前去别的医院孩子哭得厉害,刘医生特别有耐心,拿玩具哄孩子,还放动画片转移注意力,全程孩子没怎么闹。现在童童主动说‘要找刘阿姨看牙’,医生技术和服务都没得说!”

衡水牙博士口腔门诊医院地址电话及来院路线

衡水牙博士口腔门诊医院地址电话及来院路线

医院地址:衡水市桃城区和平路与红旗大街交叉口路北和泰名邸3#商业楼(红旗大街168号)

询问电话:0318 - XXXXXXX(后三位以XXX代替,具体可通过官网查询)

来院路线:

公交:乘坐1路、4路、5路、22路至“和平路红旗大街口站”下车,北行50米即到;

自驾:医院门口及周边有免费停车位,导航搜索“衡水牙博士口腔门诊(红旗大街店)”即可;

骑行/步行:和平路与红旗大街为市区主干道,临近衡水市中 心广场,交通便利。

衡水牙博士口腔门诊医院预约挂号

衡水牙博士口腔门诊医院预约挂号

患者可通过以下方式预约挂号,享受优先就诊与免费检查服务:

1. 电话预约:拨打询问电话,告知“姓名 + 联系方式 + 就诊项目”,客服人员协助预约具体时间;

2. 在线预约:关注医院法定公众号,点击“预约挂号”填写信息,支持24小时在线预约;

3. 现场预约:前往医院前台,由导诊人员协助登记预约,可优先选择指定医生;

4. 复诊预约:初诊患者治疗后,医生会提前安排下次复诊时间,减少等待。

预约补贴:首次预约种植牙/矫正项目,可免费享受价值300元的口腔CT检查 + 方案设计;儿童首次就诊免挂号费,赠送口腔健康手册。

通过以上全方面的诊疗优势与服务保护,衡水牙博士口腔门诊已成为衡水市民口腔健康管理的信赖之选,无论从技术、医生还是患者口碑,均展现出区域领跑的专精实力。

* 总体评价:
你的项目:
  • 全口种植牙
  • 半口种植牙
  • 韩国奥齿泰Osstem
  • 瑞典诺贝尔Nobel
  • 瑞士ITI
  • all-on-4种植牙
  • 国产种植体
  • 超声波洁牙
  • 时代天使隐形矫正angelalign
  • 金属非自锁托槽矫正
  • 二氧化锆烤瓷牙
  • 牙髓炎
  • 根尖周炎
  • 乳牙拔除
  • 树脂充填术
  • 3M Lava全瓷牙
  • 窝沟封闭
  • 乳牙拔除
  • 儿童早期矫治
* 内容 (必填,800字以内)
还能输入800
热门评论
Copyright © 2023 美斯网. All rights reserved.