当前位置:美斯网 > 医院 > 浙江嘉兴曙光口腔
浙江嘉兴曙光口腔
浙江嘉兴曙光口腔
地址:浙江省嘉兴市南湖区嘉兴世界贸易中心2幢2楼(近万达广场1号门)
联系电话:400-8392-968

浙江嘉兴曙光口腔

编辑:辣姐
更新时间:2025-10-27 10:17:26
次浏览

浙江嘉兴曙光口腔医院:数字化口腔诊疗标杆机构

浙江嘉兴曙光口腔医院(隶属于嘉兴Vcharm曙光整形美容医院)成立于2005年,是嘉兴市较早成立的专科口腔机构之一。作为医院五大核心科室之一,口腔科依托18年品牌积淀,以数字化种植技术和隐形正畸为特色,配备德国西诺德CT、3D口扫仪等国内外精良设备,汇聚中韩口腔骨干医生团队,形成集种植、矫正、修复、综合治疗于一体的现代化口腔诊疗中 心。医院位于南湖区核心商圈,毗邻万达广场,交通便捷,凭借透明化收费体系和个性化诊疗方案,连续多年获评"嘉兴市民信赖口腔机构"。

浙江嘉兴曙光口腔医院怎么样?

浙江嘉兴曙光口腔医院怎么样?

浙江嘉兴曙光口腔医院作为嘉兴本地老牌口腔机构,具备三大核心优势:其一,正规资质保护,隶属于嘉兴Vcharm曙光整形美容医院(卫健委审批编号:PDY00XXXX),是市医疗保险定点单位,严格遵循国内医疗质量管理规范;其二,技术设备领跑,引进全套数字化诊疗系统,包括德国西诺德数字化曲面断层CT、芬兰全景牙片机、3Shape口内扫描仪等,实现种植手术导航精度达0.1mm,正畸方案可视化率提升60%;其三,骨干医生团队多元,形成"本土骨干+外聘医生"的双轨人才结构,既有从事口腔临床10年以上的主治医师坐诊,又定期邀请韩国庆熙大学口腔博士梁桂植等骨干医生开展疑难病例会诊。

在诊疗能力方面,医院构建起覆盖全生命周期的口腔服务体系:针对中老年群体,开展ALL - ON - 4全口种植技术,实现"当天拔牙当天戴牙";面向青少年,推出3D数字化正畸方案,5分钟即可预览矫正成效;针对白领人群,提供隐形矫正+美学修复联合治疗,满足社交需求。目前已累计完成种植手术超1.2万例,正畸实例覆盖12 - 65岁年龄层,顾客满意度保持在98.6%以上,在嘉兴口腔机构口碑排名中稳居前三。

浙江嘉兴曙光口腔医院是正规医院吗?

浙江嘉兴曙光口腔医院是正规医院吗?

浙江嘉兴曙光口腔医院是经嘉兴市卫生健康委员会批准设立的正规口腔专科机构,具备完整的医疗机构执业许可证(登记号:MA2XXXXXX),诊疗科目包含口腔科(口腔种植专精、口腔正畸专精、牙体牙髓病专精等)。医院严格执行医疗废物处理规范,所有诊疗器械均采用德国MELAG灭菌系统,实现"一人一机一灭菌",消毒流程通过ISO13485国内外认证。

作为嘉兴市医学会口腔分会会员单位,医院定期参与市卫健委组织的医疗质量督查,连续五年保持医疗事故零投诉记录。在医师资质管理方面,所有坐诊医生均持有国内卫生健康委员会颁发的《医师执业证书》,主要医师如赵艳主治医师的执业编码可在国内卫健委官网查询。医院还建立完善的医疗文书管理制度,病历书写合格率达100%,种植手术全程录像存档,切实保护患者医疗安心。

浙江嘉兴曙光口腔医院是国有的吗属于几级?

浙江嘉兴曙光口腔医院是国有的吗属于几级?

浙江嘉兴曙光口腔医院属于民营专科医院,不属于国有医院序列。医院按照二级口腔专科医院标准建设,拥有独立的诊疗区域3000余平方米,设置12间标准化诊室、2间层流洁净手术室及1间数字化种植中 心。虽非国有医院,但医院通过引进三等甲医院管理模式,建立起包含18项核心制度的质量管理体系,其种植技术成功几率(98.3%)、正畸方案达标率(97.8%)等核心指标均达到三等级专科医院水平。

浙江嘉兴曙光口腔医院基本信息

浙江嘉兴曙光口腔医院基本信息

医院性质为营利性医疗机构,成立于2005年,前身为"嘉兴市曙光结合医院口腔科",2018年升级为数字化口腔中 心。营业时间为周一至周日 9:00 - 18:00(节假日不休),配备24小时急诊响应机制。硬件设施方面,拥有15台德国卡瓦综合治疗台、3台口腔专用CT设备、2套笑气镇静系统,以及独立的口腔技工室和消毒供应中 心。

服务特色包括:提供免费口腔CT检查、种植方案设计服务建立终身口腔健康档案,定期回访开设VIP诊疗通道,配备专属询问师针对残障人士提供无障碍诊疗服务。目前在职医护人员32人,其中优质职称3人,中级职称8人,年接诊量超2万人次,是嘉兴地区规模较大的综合性口腔诊疗机构。

浙江嘉兴曙光口腔医院诊疗项目

浙江嘉兴曙光口腔医院诊疗项目

医院口腔科开设八大特色诊疗项目:

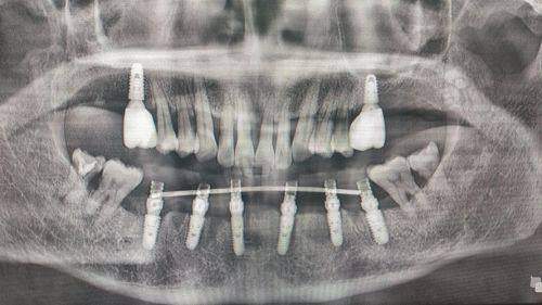
1. 数字化精细种植:采用3D导板导航技术,支持即拔即种、即刻修复,配备韩国奥齿泰、瑞士ITI等8个进口种植系统,满足不同骨条件患者需求。

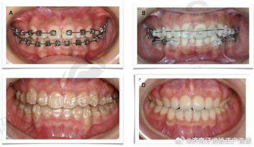
2. 隐形正畸中 心:提供隐适美、时代天使、正雅等全品牌隐形矫治服务,通过口扫数据建模,实现矫正周期缩短20%。

3. 美学修复专科:开展全瓷牙冠、贴面修复,采用德国威兰德氧化锆材料,色泽匹配度达95%以上,生物相容性好。

4. 显微根管治疗:运用蔡司手术显微镜,精细定位根管侧支,治疗成功几率提升至99.2%,减少术后疼痛发生率。

5. 儿童齿科中 心:配备卡通主题诊室,开展窝沟封闭、早期干预矫正,采用笑气镇静技术减轻诊疗恐惧。

6. 牙周病系统治疗:引进瑞士EMS牙周治疗仪,实施龈下刮治+激光辅助治疗,重度牙周炎治疗有效率达89%。

7. 口腔颌面外科:开展复杂阻生智齿拔除、颌骨囊肿摘除等手术,配备心电监护设备保护高龄患者安心。

8. 牙齿美白中 心:提供冷光美白、超声波洁牙等服务,采用美国Beyond美白剂,单次治疗可提升6 - 8个色阶。

浙江嘉兴曙光口腔医院特色技术

浙江嘉兴曙光口腔医院特色技术

医院的数字化导板种植牙技术代表嘉兴地区种植领域较高等水平:通过CBCT扫描获取牙槽骨三维数据,计算机自动生成手术导板,精细控制种植体植入的角度、深度和扭矩。与传统种植相比,该技术将手术时间缩短40%,出血量减少70%,神经损伤风险降低至0.3%。针对骨量不足患者,创新采用"即刻种植+GBR骨增量"联合术式,成功几率达96.7%,解决了传统种植需要3 - 6个月骨愈合等待期的问题。

在隐形正畸技术方面,医院实现全流程数字化管理:使用3Shape TRIOS口扫仪3分钟完成牙列扫描,数据实时传输至正畸设计系统,医生可与患者共同调整方案。其特色"双膜矫正技术",通过动态追踪牙移动轨迹,每阶段制作2副矫治器,使牙齿移动精度提升30%。临床数据显示,采用该技术的患者中,83%提前1 - 3个月完成矫正目标,覆合覆盖改善度达92%。

浙江嘉兴曙光口腔医院医生介绍

浙江嘉兴曙光口腔医院医生介绍

赵艳:口腔科主治医师,曙光口腔学科带头人,毕业于安徽医 科 大学口腔医学校,拥有11年临床经验。中华口腔医学会种植专委会会员,士卓曼种植系统认证医师,隐适美/时代天使双认证讲师。擅长复杂病例联合治疗,如"种植+矫正+贴面"美学修复,已完成各类种植手术3000余例,正畸实例2800余例,其"微创种植即刻修复"技术获2023年浙江省口腔医学会新技术奖。

陈毅阳:口腔执业医师,第四军 医 大学口腔医学硕士,主攻口腔正畸与牙槽外科。在固定矫治技术上采用"轻力滑动法",减轻矫治疼痛;阻生智齿拔除创新使用"分根斜切术",手术时间缩短至传统方法的1/3。近5年发表《数字化导航在复杂牙拔除中的应用》等3篇论文,年均接诊量超1500人次。

梁桂植:韩国庆熙大学口腔医学博士,医院特聘种植技术总监,每月定期坐诊。擅长即刻负重种植、上颌窦内外提升等复杂手术,在韩国开展"All - on - 4一日重建"手术超500例,其改良式骨劈开技术使种植体存活率达98.9%。

张会敏:副主医师,德国费亚丹种植系统国内区培训导师,从事口腔种植20年。创举"前牙美学区种植即刻修复"技术,通过牙龈塑形实现种植体周围软组织自然轮廓,美学成效评分达14.2/15分(行业平均12.5分)。

浙江嘉兴曙光口腔医院2025价格表新查询

浙江嘉兴曙光口腔医院2025价格表新查询

种植项目

1. 韩国奥齿泰种植体:2380元起/颗(含基台+烤瓷冠)

2. 美国皓圣种植体:4980元起/颗(集采价)

3. 德国卡瓦ABT种植体:6980元起/颗

4. 瑞士ITI瑞锆亲水种植体:13800元起/颗

5. 半口ALL - ON - 4种植:23800元起(含8颗种植体+桥架)

矫正项目

1. 普通金属托槽:6800元起

2. 金属自锁托槽:8800元起

3. 正雅隐形矫正:11800元起

4. 时代天使冠军版:15800元起

5. 隐适美全套:32000元起

修复项目

1. 美国3M树脂补牙:168元起/颗

2. 根管治疗(前牙):518元起/颗

3. 拔阻生智齿:480元起/颗

4. 爱尔创全瓷冠:1580元起/颗

5. 德国威兰德全瓷冠:2300元起/颗

综合项目

1. 超声波洁牙:128元起

2. 牙周基础治疗:880元起

3. 冷光美白:1280元起

4. 儿童窝沟封闭:88元起/颗

收费评价:医院实行"透明化定价",所有项目价格公示于一楼大厅电子屏,不存在隐形消费。价格区间覆盖中高端市场,如韩国种植体2380元起的价格仅为嘉兴同类机构均价的70%,而瑞士ITI等高端品牌则提供多次付款服务。综合技术实力与价格水平,其性价比在嘉兴口腔机构中排名前列,尤其适合追求品质与预算平衡的患者。

浙江嘉兴曙光口腔医院真人口碑实例反馈

浙江嘉兴曙光口腔医院真人口碑实例反馈

实例一:半口种植修复(用户:王女士 62岁)

"上半口牙齿掉了5颗后一直戴活动假牙,吃饭总觉得使不上劲。赵艳医生推荐做ALL - ON - 4种植,手术当天先拔了剩下的3颗坏牙,然后植入4颗种植体,下午就戴上了临时牙冠。现在过去3个月,已经能正常吃苹果、啃排骨,更惊喜的是发音也清晰了。整个治疗花了25800元,比我询问的其他医院便宜近万元,赵医生还定期打电话回访,服务特别贴心。"

实例二:隐形矫正(用户:李先生 28岁)

"作为程序员经常熬夜,之前牙齿有点前突不敢露齿笑。陈毅阳医生用口扫仪扫描后,电脑上当场就显示出矫正后的成效。选了时代天使隐形矫正,15800元包含所有矫治器和复诊费。每天戴够22小时,第4个月就看到门牙内收了,现在10个月过去,朋友都说我侧脸线条变好看了。矫正期间完全不影响工作,同事都没发现我在整牙。"

实例三:前牙美学修复(用户:张女士 35岁)

"前门牙有个小缺口一直特别在意,赵艳医生建议做全瓷贴面。先做了3D设计,试戴临时贴面调整形状,末尾用德国瓷睿刻系统当天完成修复。现在牙齿颜色和真牙一模一样,近距离看也看不出接缝,笑起来特别自信。总共花了3800元做2颗贴面,比预想的便宜,而且医生说能用10年以上,特别值。"

浙江嘉兴曙光口腔医院地址电话及来院路线

浙江嘉兴曙光口腔医院地址电话及来院路线

医院地址:嘉兴市南湖区嘉兴海内外贸易中 心2幢2楼(近万达广场1号门)

询问电话:0573 - 82XXX18(工作时间8:30 - 19:00)

交通路线:

公交:乘坐17路、22路、87路至"万达广场北站"下车,步行300米(约5分钟)

地铁:距离有轨电车T2线"庆丰路站"1.2公里,骑行约6分钟

自驾:医院楼下有3层地下停车场,就诊顾客可享2小时免费停车(需在前台领取停车券)

高铁:嘉兴南站乘坐93路公交至"广益路庆丰路站"下车,换乘22路即达

浙江嘉兴曙光口腔医院预约挂号

浙江嘉兴曙光口腔医院预约挂号

医院提供四种便捷预约方式:

1. 电话预约:拨打0573 - 82XXX18,告知客服就诊项目、时间及个人信息,预约成功后将收到短信提醒(含科室医生介绍)

2. 微信预约:关注公众号"嘉兴曙光口腔",点击"在线预约"填写表单,客服将在15分钟内回电确认

3. 现场预约:一楼导诊台可直接预约未来30天内的骨干医生号,优先安排上午9:00 - 11:00黄金时段

4. 网络询问:官网首页点击"在线询问",通过人工客服选择种植/矫正等专项诊室,可同步获取项目价格表

预约补贴:首次预约顾客可享免费口腔CT检查(价值380元),种植/矫正项目预约即赠口腔护理包(含电动牙刷、牙线等)。如需变更就诊时间,建议提前24小时联系客服,避免爽约影响下次预约优先级。

* 总体评价:
你的项目:
  • 半口种植牙
  • 韩国奥齿泰Osstem
  • 瑞士ITI
  • 美国皓圣Hiossen
  • all-on-4种植牙
  • 上颌窦提升术
  • 超声波洁牙
  • 金属托槽矫正
  • 时代天使隐形矫正angelalign
  • 隐适美隐形矫正Invisalign
  • 正雅隐形矫正Smartee
  • 金属非自锁托槽矫正
  • 二氧化锆烤瓷牙
  • 根管治疗
  • 拔智齿
  • 树脂充填术
  • 威兰德全瓷牙
  • 冷光美白
  • 牙贴面
  • 儿童早期矫治
* 内容 (必填,800字以内)
还能输入800
热门评论
Copyright © 2023 美斯网. All rights reserved.