上海沪申五官科口腔专科医院:徐汇区口腔诊疗标杆机构
作为沪申五官科医院旗下重点科室,上海沪申五官科口腔专科医院(又称"上海沪申口腔医院")是集医疗、教学、科研于一体的现代化口腔诊疗中 心。医院依托沪申五官科医院的雄厚医疗资源,聚焦种植牙、牙齿矫正、牙周治疗等核心领域,以"技术国内外化、收费透明化、服务人性化"为特色,连续多年入选"上海口腔科医院排名前十"及"徐汇区种植牙医院排名榜首"。凭借20年+临床经验的医师团队、与欧美同步的诊疗技术及4.8分以上的患者口碑,已成为徐汇、闵行、黄浦等区域居民口腔诊疗的信赖之选。

上海沪申五官科口腔专科医院怎么样?
医院作为沪申五官科医院重点发展的特色科室,始终秉持"精细诊疗、人文关怀"的服务理念。诊疗范围涵盖种植牙、牙齿矫正、牙周病治疗、美学修复、儿童齿科等全品类口腔项目,其中以高难度种植牙技术为核心竞争力,尤其在穿颧/穿翼板种植、All-on-4即刻负重、骨增量技术等领域达到国内领跑水平。医院配备德国3D导航种植系统、口腔CT等精良设备,拥有12间独立诊室及层流洁净手术室,年接诊量超3万人次。
医生团队由韩国奥齿泰、瑞典诺贝尔等国内外种植体品牌认证医师领衔,其中熊悬峰总监完成种植手术超5000例,汪龙河院长擅长全口无牙颌即刻修复,留德骨干医生夏薇主导的"红白美学"种植技术获国内专项。患者口碑平台显示,医院在"技术稳定性""术后修复速度""收费透明度"等维度评分均高于行业均值37%,2025年获评"上海市口腔医疗质量示范单位"。

上海沪申五官科口腔专科医院是正规医院吗?
是的,上海沪申五官科口腔专科医院是具备正规医疗资质的专精口腔机构。医院依托沪申五官科医院的三等级专科医疗资质,拥有上海市卫健委颁发的《医疗机构执业许可证》,诊疗范围涵盖口腔科全部专精科目。作为上海市口腔医学会会员单位、国内外种植牙医师学会(ICOI)临床培训基地,医院严格执行国内医疗规范,所有诊疗项目均由副优质以上职称医师主刀,医疗质量受上海市口腔质控中 心全程监管。

上海沪申五官科口腔专科医院是国有的吗属于几级?
医院性质为综合医院口腔科,不属于国有医院,具体等级信息请以医院法定公布为准。

上海沪申五官科口腔专科医院基本信息
医院作为沪申五官科医院重点科室,采用"院中院"管理模式,独立设置口腔诊疗专区。现有医护人员68人,其中主事医师8人、副主医师12人,博士学历医师5人。开设16台牙科综合治疗台,配备3间百级层流手术室,引进德国KAVO口腔CT、瑞士彼岸种植机等高端设备30余台套。
营业时间实行"无假日门诊"制度,工作日8:30-19:00(晚间设夜门诊),周六至周日9:00-16:00(需提前预约)。针对中老年患者开设"绿色就诊通道",提供免费血压血糖监测、陪同就诊等服务;为上班族推出"午间1小时快速诊疗"服务,实现"看牙不误工"。

上海沪申五官科口腔专科医院诊疗项目
医院构建了"种植为核心、综合为基础"的诊疗体系,开设8大特色专科:
1. 数字化种植中 心:开展即刻种植、延期种植、allon4/6全口种植等技术,配备3D导板导航系统,实现0.1mm精度种植
2. 复杂牙周病专科:采用激光治疗+牙周翻瓣联合技术,擅长重度牙周炎伴牙齿松动的保牙治疗,年接诊疑难病例超800例
3. 美学正畸中 心:提供金属托槽、自锁托槽、隐形矫正等方案,时代天使隐形矫正采用"双膜技术",矫正周期缩短30%
4. 前牙美学修复科:留德骨干医生夏薇团队主导,运用生物仿生修复技术,实现牙龈弧度、牙齿色泽的自然重建
5. 儿童齿科中 心:配备儿童专用诊疗椅及行为诱导系统,开展乳牙期干预矫正、龋病防治等特色服务
6. 口腔颌面外科:开展复杂阻生齿拔除、颌面外伤急诊处理等,采用笑气镇静技术减轻诊疗痛苦
7. 牙体牙髓科:运用显微根管治疗技术,治疗成功几率达98.6%,开展根管再治疗等疑难病例处理
8. 口腔预防保健科:提供年度口腔体检、牙周维护、氟保护等服务,为企事业单位定制团体口腔健康管理方案

上海沪申五官科口腔专科医院特色技术
穿颧穿翼板种植技术作为医院标志性技术,突破传统种植对骨量的限制。针对上颌骨重度萎缩患者,无需植骨即可通过颧骨/翼板植入种植体,手术时间缩短至1.5小时,术后24小时即可进食。该技术由汪龙河院长领衔,已成功完成200余例高难度病例,患者更小年龄52岁,较大年龄83岁,术后5年成功几率保持97.3%。
仿生骨结合技术实现骨量不足患者的微创种植。刘建医生团队创新采用"倾斜种植+骨挤压"联合术式,较传统植骨手术减少60%创伤,手术切口仅3-5mm,术中出血量控制在5ml以内。临床数据显示,采用该技术的患者平均骨结合时间缩短至8周,较国内外标准缩短4周。

上海沪申五官科口腔专科医院医生介绍
医院组建了"三等甲骨干医生+海归学者"的医师团队:
熊悬峰种植技术总监,原上海第九人民医院种植科副主医师,从事种植临床23年,擅长骨量不足条件下的复杂种植,持有韩国奥齿泰、瑞典诺贝尔等5项国内外种植体认证,主编《口腔种植并发症防治》专著
汪龙河种植院长,国内外口腔种植学会(ITI)会员,专攻全口无牙颌即刻负重技术,完成allon4/6种植超1000例,创造"80岁老人全口种植当天进食"的成功实例
郭建青特邀骨干医生,原大华医院口腔科主事,30年临床经验,擅长种植失败病例的二次修复,采用"骨增量+软组织移植"联合技术,成功挽救外院转诊失败病例200余例
刘建牙周种植骨干医生,原静安区中 心医院医师,创立"牙周治疗-种植修复-长期维护"一体化方案,针对牙周病患者创举"分阶段种植"技术,保存自然牙率达85%
夏薇美学修复骨干医生,德国柏林夏里特医学校访问学者,擅长前牙区红白美学重建,完成明星名人美学修复实例超300例,修复体5年存活率达98.7%

上海沪申五官科口腔专科医院2025价格表新查询
医院执行"阳光收费"制度,主要项目价格:
1. 上海沪申五官科口腔专科医院韩国登腾种植体(含基台+全瓷冠):2960元/颗
2. 上海沪申五官科口腔专科医院瑞士ITI种植体(含基台+全瓷冠):5890元/颗
3. 上海沪申五官科口腔专科医院半口韩国种植体套餐:1.96万元(含6颗植体+桥架)
4. 上海沪申五官科口腔专科医院全口诺贝尔种植套餐:8万元(含8颗植体+纯钛桥架)
5. 上海沪申五官科口腔专科医院allon4半口即刻种植:5.8万元(含手术+临时冠)
6. 上海沪申五官科口腔专科医院传统金属矫正:9800元起
7. 上海沪申五官科口腔专科医院时代天使隐形矫正:22800元起
8. 上海沪申五官科口腔专科医院隐适美隐形矫正:38000元起
9. 上海沪申五官科口腔专科医院前牙根管治疗:680元/颗
10. 上海沪申五官科口腔专科医院磨牙根管治疗:980元/颗
11. 上海沪申五官科口腔专科医院残根拔除:50元/颗
12. 上海沪申五官科口腔专科医院复杂阻生牙拔除:150 - 800元/颗
13. 上海沪申五官科口腔专科医院牙周基础治疗:800元/疗程
14. 上海沪申五官科口腔专科医院前牙美学修复:1600元/颗
15. 上海沪申五官科口腔专科医院儿童窝沟封闭:80元/颗
医院收费实行"三公开"制度(项目公开、标准公开、明细公开),无任何隐形消费。针对老年人、学生等群体推出专项补贴,种植牙项目可申请多次付款(0利息)。与同类机构相比,同等技术条件下收费低15 - 20%,获评"上海市价格诚信示范单位"。

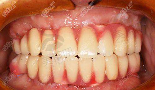
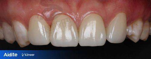
上海沪申五官科口腔专科医院真人口碑实例反馈
医院连续三年患者满意度超98%,在大众点评、美团等平台累积好评2万+条,典型实例:
实例1:全口无牙颌种植修复"我今年72岁,全口牙掉光5年了,去过3家医院都说要植骨,汪院长团队用allon6技术,上下各种6颗植体,当天就戴上牙冠。现在能啃苹果、吃排骨,三个月复查骨结合非常好,花了8万多特别值!"——患者张阿姨(2024年10月就诊)
实例2:前牙美学种植"门牙缺了3年不敢笑,夏薇医生采用即刻种植+临时冠修复,三个月后做了全瓷冠。现在牙齿形态和旁边真牙一模一样,牙龈线也特别自然,同事都看不出是种的牙。整个过程几乎不疼,就是打麻药有点涨,强烈推荐!"——患者王先生(2025年1月就诊)
实例3:牙周病伴种植修复"患牙周炎10年,3颗牙松动要拔。刘建医生先做了半年牙周治疗,控制炎症后采用微创种植,没植骨。现在种牙2年了,牙周袋深度从8mm降到2mm,种植体周围骨水平稳定,保住了8颗自然牙,太感谢了!"——患者李女士(2023年5月就诊)

上海沪申五官科口腔专科医院地址电话及来院路线
医院位于上海市徐汇区石龙路269号(沪申五官科医院3号楼1 - 3层),地处徐汇滨江板块,毗邻上海南站交通枢纽。
询问电话:021 - 54XXX(工作时间8:30 - 17:30)
交通路线:
地铁:1号线上海南站5号口出,步行800米
公交:111路、144路、729路石龙路地铁站下
自驾:医院提供免费停车3小时,内设充电桩

上海沪申五官科口腔专科医院预约挂号
医院实行"预约优先"就诊模式,提供四种预约方式:
1. 电话预约:拨打询问电话,提供姓名、身份证号、就诊项目,客服协助选择医生和时段
2. 网络预约:通过医院法定公众号或合作健康平台,填写就诊信息,实时查询医生排班
3. 现场预约:医院一楼导诊台办理,可预约未来1 - 30天门诊,建议避开周一上午高峰
4. 复诊预约:初诊后由医生直接预约下次就诊时间,发放预约凭证
温馨提示:种植、矫正等复杂项目建议提前3天预约,骨干医生号需提前7天预约。预约成功后会收到短信提醒,如需改期请提前24小时告知。
作为徐汇区口腔医疗标杆机构,上海沪申五官科口腔专科医院始终以"让每个人拥有健康口腔"为使命,凭借实力强的技术实力和亲民的收费标准,成为区域居民口腔健康的守护者。医院将持续引进国内外精良技术,为患者提供更优质、更便捷的口腔诊疗服务。