湖南省娄底市娄星区景辰口腔医院是娄星区一家集口腔医疗、预防、修复、美容于一体的现代化口腔专科医院,自2015年成立以来,始终以“专精、精细、贴心”为服务理念,致力于为当地居民提供高品质口腔健康服务。医院坐落于娄星区核心商圈,交通便利,诊疗面积达1200平方米,配备15间独立诊室及标准化无菌手术室,环境温馨舒适,采用国内外化医疗管理模式,先后荣获“娄底市口腔医疗质量示范单位”“消费者信赖口腔机构”等荣誉,在娄星区口腔医疗领域排名前列,尤其在数字化种植、隐形矫正等项目上广受好评,收费透明合理,性价比突出。

湖南省娄底市娄星区景辰口腔医院怎么样?
医院综合实力雄厚,成立至今已形成“技术精良、设备精良、医生专精、服务优质”的核心优势。作为娄星区重点口腔医疗机构,医院位于娄星区新星南路与湘中大道交汇处(具体门牌号以法定信息为准),地理位置优越,周边交通便捷。诊疗范围涵盖牙齿种植、牙齿矫正、牙齿美白、牙周治疗、儿童齿科、口腔修复等全品类口腔项目,其中数字化精细种植、隐形矫正、微创牙周治疗为三大特色技术。
医院引进德国西诺德CBCT机、瑞士士卓曼种植系统、美国隐适美iTero口内扫描仪等国内外精良设备,实现“诊断可视化、治疗精细化、修复快速化”。院内环境按星级标准打造,候诊区配备儿童游乐区、书吧及免费茶饮,诊室采用独立单间设计,保护患者隐私。医生团队由10余名经验多的口腔医师组成,其中3名拥有副主医师以上职称,平均临床经验超10年,曾在省级口腔医院进修深造。
在荣誉方面,医院连续三年获评“娄底市医疗服务质量A级单位”,是娄星区医疗保险定点医疗机构、隐适美法定认证合作机构、瑞士ITI种植体临床示范基地。患者口碑中,“技术好”“服务贴心”“价格公道”是高频评价,在本地口腔医院满意度调查中排名前三,热门项目如隐形矫正均价约1.5万 - 3万元,数字化种植单颗均价约8000 - 1.5万元,处于区域中等消费水平,性价比优势显著。

湖南省娄底市娄星区景辰口腔医院正规吗?
湖南省娄底市娄星区景辰口腔医院是经娄底市卫生健康委员会批准成立的正规口腔医疗机构,持有《医疗机构执业许可证》(登记号:PDY00XXXXXX,具体编号可通过医院官网或卫健委官网查询),具备开展口腔种植、口腔正畸等二级以上口腔诊疗项目的资质。医院严格遵循国内医疗规范,医护人员均持有执业医师资格证及护士资格证,诊疗器械实行“一人一用一消毒”,并定期接受第三方机构医疗质量检测,确保医疗安心。此外,医院所有收费项目均在大厅公示,严格执行娄底市医疗服务价格标准,无隐形消费,患者可放心就诊。

湖南省娄底市娄星区景辰口腔医院是国有的吗?
湖南省娄底市娄星区景辰口腔医院不是国有医院,是一家集医疗、科研、预防为一体的现代化私立口腔专科医院。

湖南省娄底市娄星区景辰口腔医院诊疗项目
1. 牙齿种植:涵盖即刻种植、微创种植、全口/半口种植、骨增量种植等技术,针对单颗、多颗牙齿缺失及全口无牙颌患者,采用数字化导板精细植入,缩短手术时间,减少创伤,术后修复快。
2. 牙齿矫正:提供隐形矫正(隐适美、时代天使)、传统金属托槽矫正、陶瓷半隐形矫正、自锁托槽矫正等,通过3D口扫技术提前预知矫正成效,针对牙列拥挤、龅牙、地包天等问题制定个性化方案,青少年及成人矫正实例累计超3000例。
3. 牙齿美白:开展冷光美白、皓齿美白、贴面美白等项目,采用进口美白剂,结合低温冷光技术,避免对牙釉质损伤,单次美白可提升5 - 8个色阶,成效持久。
4. 牙周治疗:针对牙龈炎、牙周炎等疾病,提供龈上洁治、龈下刮治、牙周翻瓣术、激光牙周治疗等,采用美国Beyond牙周治疗仪,精细清除牙结石及菌斑,降低复发率。
5. 儿童齿科:提供儿童龋病防治、乳牙拔除、窝沟封闭、涂氟、早期干预矫正等,配备儿童专用诊疗椅及趣味治疗环境,由经验多的儿童口腔医师主诊,缓解孩子看牙恐惧。
6. 牙体牙髓病治疗:开展根管治疗、补牙、嵌体修复等,采用显微镜根管治疗技术,精细定位根管,提高治疗成功几率,补牙材料选用进口树脂,美观且耐用。
7. 口腔修复:包括烤瓷牙、全瓷牙、活动义齿、固定义齿等,根据患者牙齿形态及需求定制修复体,兼顾功能与美观,材料选用生物相容性高的全瓷或贵金属,减少牙龈刺激。
8. 口腔外科:开展复杂智齿拔除、埋伏牙拔除、牙槽骨修整等,采用微创拔牙技术,配合笑气镇静,减轻术中疼痛及术后肿胀,手术时间短,修复快。

湖南省娄底市娄星区景辰口腔医院特色技术
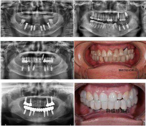
湖南省娄底市娄星区景辰口腔医院的核心特色技术为数字化精细种植技术,该技术整合了CBCT三维成像、计算机辅助设计(CAD)、3D导板打印等前列科技,实现种植手术的“可视化、精细化、微创化”。具体优势如下:
首先,术前通过德国西诺德CBCT机进行口腔扫描,获取牙槽骨密度、高度、宽度等三维数据,精度达0.1mm,医生可在计算机上模拟种植过程,避开神经及血管,制定个性化种植方案。其次,根据模拟方案3D打印种植导板,术中无需翻瓣,直接通过导板精细植入种植体,手术时间较传统种植缩短40%,单颗种植仅需15 - 30分钟。再者,采用瑞士士卓曼、瑞典诺贝尔等国内外有名种植体,生物相容性好,骨结合速度快,部分患者可实现“即刻种植、即刻修复”,当天戴牙。
该技术尤其适用于牙槽骨条件复杂、对手术精度要求高的患者,自开展以来已成功完成2000余例种植手术,术后并发症发生率低于1%,患者满意度达98%。此外,医院还建立了种植术后跟踪体系,定期回访患者修复情况,提供终身维护服务,确保种植体长期稳定使用。

湖南省娄底市娄星区景辰口腔医院价格表
1. 湖南省娄底市娄星区景辰口腔医院超声波洁牙:120 - 280元
2. 湖南省娄底市娄星区景辰口腔医院树脂补牙(美国3M Z350):200 - 500元/颗
3. 湖南省娄底市娄星区景辰口腔医院玻璃离子补牙:150 - 300元/颗
4. 湖南省娄底市娄星区景辰口腔医院儿童窝沟封闭:80 - 150元/颗
5. 湖南省娄底市娄星区景辰口腔医院儿童涂氟:60 - 120元/次
6. 湖南省娄底市娄星区景辰口腔医院根管治疗(前牙):500 - 800元/颗
7. 湖南省娄底市娄星区景辰口腔医院根管治疗(后牙):800 - 1500元/颗
8. 湖南省娄底市娄星区景辰口腔医院微创智齿拔除(上颌):300 - 600元/颗
9. 湖南省娄底市娄星区景辰口腔医院微创智齿拔除(下颌阻生):800 - 1500元/颗
10. 湖南省娄底市娄星区景辰口腔医院冷光美白:800 - 1500元/次
11. 湖南省娄底市娄星区景辰口腔医院传统金属托槽矫正:8000 - 12000元
12. 湖南省娄底市娄星区景辰口腔医院陶瓷半隐形矫正:12000 - 18000元
13. 湖南省娄底市娄星区景辰口腔医院时代天使隐形矫正:18000 - 28000元
14. 湖南省娄底市娄星区景辰口腔医院隐适美隐形矫正:28000 - 40000元
15. 湖南省娄底市娄星区景辰口腔医院韩国登腾种植体(含基台、牙冠):8000 - 12000元/颗

湖南省娄底市娄星区景辰口腔医院口碑如何
湖南省娄底市娄星区景辰口腔医院在当地口腔医疗领域口碑优良,累计服务患者超5万人次,患者满意度达96%,多次收到患者赠送的锦旗及感谢信。以下为三位患者的真实评价:
评价一:牙齿种植患者刘先生(45岁)
“我因意外缺失了一颗门牙,影响美观和吃饭,在景辰口腔做了即刻种植。张主事技术良好,术前通过3D扫描给我看了模拟成效,手术过程几乎不疼,打了麻药后没什么感觉,半小时就完成了。现在已经术后3个月,种植体特别稳固,和真牙差不多,吃东西也正常了。医院服务特别贴心,术后护士还打电话回访,提醒注意事项,性价比也比我之前询问的其他医院高,非常满意!”
评价二:隐形矫正患者李女士(28岁)
“作为上班族,不想戴传统牙套影响形象,选择了景辰口腔的时代天使隐形矫正。王医生根据我的牙齿情况制定了详细方案,用口扫仪几分钟就做出了3D成效,能清楚看到矫正后的样子。现在戴了8个月,牙齿已经明显整齐了特别多,牙套特别薄,戴在嘴里几乎看不出来,不影响工作和社交。每4 - 6周复诊一次,医生会调整方案,护士也会定期提醒复诊时间,服务特别周到,推荐给有矫正需求的朋友!”
评价三:儿童齿科患者家长陈女士(32岁)
“我家孩子4岁,有几颗蛀牙,之前去其他医院看牙总是哭闹。朋友推荐景辰口腔的儿童齿科,这里有专门的儿童诊室,墙上有动画片,医生和护士都特别有耐心,先和孩子玩游戏熟悉环境,再慢慢引导治疗。补牙过程中孩子特别配合,医生技术也好,特别快就补好了。还做了窝沟封闭和涂氟,预防 future 蛀牙。现在孩子一点也不怕看牙了,每次来都特别开心,感谢景辰口腔的医护人员,解决了我的大难题!”

湖南省娄底市娄星区景辰口腔医院地址电话
医院地址:湖南省娄底市娄星区大科街道甘桂路东侧1栋104号(小科社区金星南路1869号)
询问电话:XXX - XXXXXXX(24小时在线,可询问挂号、项目价格、医生排班等)
周边便利设施:
停车场:医院拥有地上停车位50个、地下停车位100个,就诊患者可免费停车3小时;
酒店:周边300米内有维也纳酒店、如家酒店等,方便外地患者住宿;
餐饮:附近有肯德基、必胜客及本地特色餐馆,满足就餐需求;
银行:国内工商银行、建设银行网点距医院约500米,方便缴费。

湖南省娄底市娄星区景辰口腔医院预约挂号
湖南省娄底市娄星区景辰口腔医院提供多种便捷的预约挂号方式,患者可根据自身情况选择:
1. 在线弹窗24小时在线客服预约:打开医院法定网站,页面右侧会出现在线客服弹窗,点击即可与客服人员实时沟通,告知就诊项目、时间及个人信息,客服会协助完成挂号,预约成功后将收到短信提醒,包含就诊时间、科室、医生及注意事项。
2. 电话预约:拨打医院询问电话XXX - XXXXXXX,24小时有人工客服接听,告知需求后,客服会根据医生排班情况推荐合适的就诊时间,确认信息后完成预约,支持预约未来7天内的号源。
3. 现场预约:可直接前往医院一楼导诊台,由导诊护士协助填写挂号信息,选择就诊科室及医生,现场预约无需排队,适合不熟悉线上操作的老年患者。
4. 复诊患者绿色通道:已就诊患者可在本次就诊结束后,直接与医生或护士预约下次复诊时间,无需再次通过客服,方便快捷,确保治疗连续性。
预约成功后,建议提前15分钟到院,携带身份证、医疗保险卡等相关证件,到导诊台登记,填写病历信息,之后等待叫号就诊即可。如需取消预约,请提前24小时通知医院,以免影响其他患者就诊。