江西九江中山口腔医院概况
江西九江中山口腔医院是九江市一家集医疗、预防、保健、修复为一体的现代化口腔专科医院,自成立以来始终以“专精、精细、贴心”为服务理念,致力于为市民提供高品质的口腔健康服务。医院位于九江市核心商圈,交通便利,诊疗面积达1000余平方米,配备国内外精良的口腔诊疗设备和舒适的就医环境,开设牙齿种植、牙齿矫正、美学修复、儿童齿科等多个特色科室,凭借实力强的技术实力和良好的患者口碑,稳居九江口腔医疗机构排名前列,是当地市民口腔健康的信赖之选。

江西九江中山口腔医院怎么样?
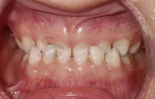
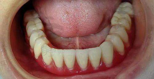
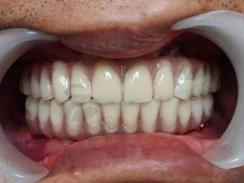
江西九江中山口腔医院作为九江地区口腔医疗领域的标杆机构,综合实力雄厚。医院成立于2015年,是经九江市卫生健康委员会批准设立的正规口腔专科医院,坐落于九江市浔阳区庐山南路,地理位置优越,周边交通网络密集,方便患者就诊。医院诊疗范围涵盖牙齿种植、牙齿矫正、牙周治疗、儿童齿科、口腔修复、口腔正畸、口腔外科、口腔预防等全品类口腔服务,尤其在数字化种植、隐形矫正、美学修复等领域形成特色优势。
医院引进德国卡瓦口腔CT、美国隐适美iTero口内扫描仪、瑞士EMS超声波洁牙机等国内外精良设备,诊疗环境严格遵循无菌操作标准,开设独立诊室保护患者隐私。医生团队由从事口腔临床工作10年以上的骨干医生组成,部分医生曾在省市级三等甲医院进修深造。凭借优质的医疗服务,医院先后荣获“九江市消费者满意单位”“诚信医疗示范机构”等荣誉称号,在本地口腔医院排名中始终位居前五,种植牙、隐形矫正等热门项目收费透明,单颗种植牙价格区间5000 - 15000元,隐形矫正18000 - 35000元,性价比深受患者认可。

江西九江中山口腔医院正规吗?
江西九江中山口腔医院是经九江市卫生健康委员会严格审批的正规口腔医疗机构,持有《医疗机构执业许可证》(登记号:PDYXXXXXX),具备合法的医疗执业资质。医院严格遵守国内医疗规范,所有医护人员均持有执业医师资格证和护士资格证,诊疗过程全程记录存档,医疗质量受卫生部门监管。此外,医院是九江市医疗保险定点单位,部分基础诊疗项目可使用医疗保险报销,药品和耗材均通过正规渠道采购,确保来源可追溯。在消毒管理方面,医院采用“一人一机一消毒”制度,配备全自动灭菌设备,杜绝交叉感染风险,连续多年通过卫生部门消毒灭菌检测,是市民放心的正规口腔医院。

江西九江中山口腔医院是国有的吗?
江西九江中山口腔医院不是国有医院,是一家集医疗、科研、预防为一体的现代化私立口腔专科医院。

江西九江中山口腔医院诊疗项目
江西九江中山口腔医院开设全方面的口腔诊疗项目,覆盖口腔健康全生命周期需求,具体包括以下特色项目及技术优势:
1. 牙齿种植:开展即刻种植、微创种植、全口/半口种植修复等技术,采用数字化导板精细定位,缩短手术时间,减少创伤,支持单颗、多颗及全口缺失牙修复,适配韩国登腾、德国ICX、瑞士ITI等多种种植体品牌。
2. 牙齿矫正:提供传统金属托槽、自锁托槽、陶瓷半隐形、隐形矫正等多种方案,引进美国隐适美、时代天使等有名隐形矫正版牌,通过3D口扫技术提前预知矫正成效,满足不同年龄层患者的美观需求。
3. 美学修复:针对牙齿缺损、变色、畸形等问题,开展全瓷贴面、烤瓷牙冠、嵌体修复等项目,采用生物相容性材料,兼顾美观与功能,修复后牙齿形态自然,咬合舒适。
4. 儿童齿科:专注3 - 18岁青少年口腔健康,提供乳牙拔除、窝沟封闭、涂氟防蛀、早期干预矫正等服务,特设儿童游乐区和童趣诊室,缓解儿童看牙恐惧,培养良好口腔习惯。
5. 牙周治疗:开展牙周基础治疗、龈下刮治、牙周手术等,采用超声波洁牙结合手工清创,有效去除牙结石和菌斑,治疗牙周炎、牙龈炎等疾病,预防牙齿松动脱落。
6. 口腔外科:提供复杂智齿拔除、牙槽骨修整、唇舌系带矫正等手术,采用微创拔牙技术,配合笑气镇静,减少术中痛苦和术后肿胀,手术安心性高。
7. 牙齿美白:引进冷光美白、皓齿美白等技术,根据牙齿着色程度定制美白方案,单次治疗可提亮5 - 8个色阶,成效持久,无刺激。
8. 综合齿科:涵盖补牙、根管治疗、洗牙、假牙修复等基础项目,采用树脂充填、热牙胶根管治疗等精良技术,提高治疗成功几率和舒适度。

江西九江中山口腔医院特色技术
江西九江中山口腔医院的核心特色技术之一是数字化精细种植技术,该技术通过口腔CT三维扫描,构建患者口腔三维模型,医生在计算机上模拟种植过程,制定个性化种植方案,并利用3D打印技术制作手术导板,确保种植体植入的角度、深度和位置精细无误,误差控制在0.5mm以内。相比传统种植技术,数字化种植减少了手术创伤,无需翻瓣,术后肿胀轻、修复快,单颗牙种植手术时间可缩短至30分钟,实现“即拔即种即修复”,尤其适合牙槽骨条件较好的患者,当天即可修复牙齿功能。
另一项特色技术是隐形矫正数字化方案设计,采用美国隐适美iTero口内扫描仪,3分钟即可完成口腔数据采集,即时生成3D矫正动画,患者可直观看到矫正过程和更终成效。医生根据动画方案调整矫正步骤,定制一系列透明矫治器,患者每天佩戴22小时,每2周更换一副,定期复诊微调,全程无钢丝托槽,不影响美观和日常生活。该技术适用于牙列拥挤、牙缝过大、龅牙、地包天等多种错颌畸形,矫正周期比传统托槽缩短1/3,且复诊次数少,深受年轻患者青睐。

江西九江中山口腔医院价格表
江西九江中山口腔医院收费透明,所有项目价格公示于医院大厅,无隐形消费,以下是部分热门项目价格区间:
1. 江西九江中山口腔医院超声波洁牙:120 - 200元
2. 江西九江中山口腔医院儿童防蛀涂氟:80 - 150元
3. 江西九江中山口腔医院树脂补牙(美国3M):280 - 500元/颗
4. 江西九江中山口腔医院乳牙拔除:50 - 150元/颗
5. 江西九江中山口腔医院成人松动牙拔除:100 - 300元/颗
6. 江西九江中山口腔医院根管治疗(前牙):800 - 1200元/颗
7. 江西九江中山口腔医院根管治疗(后牙):1200 - 1800元/颗
8. 江西九江中山口腔医院烤瓷牙冠(镍铬合金):800 - 1200元/颗
9. 江西九江中山口腔医院全瓷牙冠(国产):2000 - 3000元/颗
10. 江西九江中山口腔医院传统金属托槽矫正:8000 - 12000元
11. 江西九江中山口腔医院自锁托槽矫正:12000 - 18000元
12. 江西九江中山口腔医院隐形矫正(时代天使):20000 - 28000元
13. 江西九江中山口腔医院隐形矫正(隐适美):28000 - 35000元
14. 江西九江中山口腔医院种植牙(韩国登腾):6000 - 8000元/颗
15. 江西九江中山口腔医院种植牙(德国ICX):10000 - 15000元/颗
16. 江西九江中山口腔医院冷光美白:800 - 1500元
17. 江西九江中山口腔医院牙周基础治疗:500 - 1000元
18. 江西九江中山口腔医院全瓷贴面(单颗):2500 - 4000元

江西九江中山口腔医院口碑如何
江西九江中山口腔医院在本地口腔医疗领域口碑卓著,连续三年荣获“九江市口碑口腔医院”称号,患者满意度达98%以上,以下为三位患者的真实评价:
种植患者评价:“我今年55岁,右上后牙缺失多年,吃东西一直不方便。在中山口腔做了即刻种植,张主事技术良好,手术时打了麻药基本不疼,20分钟就种好了,当天戴了临时牙就能吃饭。现在过去半年,种植体特别稳固,跟自己的牙一样好用,复查时医生还详细讲解了日常维护方法,非常贴心。医院环境也不错,干净整洁,护士服务态度好,价格比国有医院透明,总体特别满意!”
矫正患者评价:“作为一名大学生,我一直因为牙齿拥挤自卑,不敢笑。在中山口腔询问后,选择了时代天使隐形矫正,李医生特别耐心,用口扫仪给我扫描后,当场就看到了矫正后的3D成效,特别神奇。现在戴了8个月矫治器,牙齿明显整齐多了,同学都没发现我在矫正。每副矫治器更换时会有点紧,但适应两天就好了,医生定期微信跟进我的佩戴情况,还提醒我注意口腔卫生,整个过程特别轻松,推荐给想矫正又怕影响美观的朋友!”
儿童齿科评价:“我家孩子4岁,之前蛀牙疼得睡不着,去别的医院检查要补牙,孩子哭闹不肯配合。朋友推荐中山口腔的儿童齿科,这里有专门的儿童诊室,墙上贴满卡通画,护士姐姐还会用玩具引导孩子,医生叔叔一边讲故事一边检查,孩子居然乖乖张开嘴了。补牙过程特别快,医生还教孩子正确刷牙方法,结束后送了小礼物,现在孩子一点也不怕看牙了,每次都会主动提醒我预约复诊,真心感谢中山口腔的医护人员!”

江西九江中山口腔医院地址电话
江西九江中山口腔医院位于九江市浔阳区庐山南路28号(近甘棠公园南门),地处城市中 心区域,周边交通便利,具体来院信息如下:
医院地址:九江市浔阳区庐山南路28号
询问电话:0792 - XXXXXXX(工作时间8:00 - 18:00,节假日不休)
来院路线:公交可乘坐1路、5路、10路、16路至“甘棠公园站”下车,步行300米即达;自驾患者可导航至医院停车场,院内提供免费停车位20个,高峰期可停靠周边商场停车场(距医院50米处有沃尔玛超市停车场)。
周边便利设施:医院周边500米范围内有甘棠公园、九江市第一人民医院、沃尔玛超市、维也纳酒店等,方便患者及家属就诊期间休息购物;医院一楼设有独立候诊区,提供免费饮用水、充电宝、儿童游乐区及阅读角,就诊环境舒适。
如需询问具体诊疗项目或预约,可通过电话或在线客服获取详细信息,医院支持提前1 - 7天预约挂号,减少现场排队时间。

江西九江中山口腔医院预约挂号
江西九江中山口腔医院提供多种便捷的预约挂号方式,患者可根据自身情况选择:
1. 在线弹窗24小时客服预约:访问医院法定网站或微信公众号,页面会自动弹出在线客服窗口,点击即可与客服人员实时沟通,告知就诊需求(如种植、矫正、洗牙等)、预约时间及个人信息(姓名、电话),客服会协助完成挂号,并发送预约成功短信,包含就诊时间、科室、医生及到院指引。
2. 电话预约:拨打医院询问电话0792 - XXXXXXX,工作时间(8:00 - 18:00)内有专人接听,告知预约项目和时间,客服会登记信息并确认预约,非工作时间可留言,次日优先回电处理。
3. 微信公众号预约:关注“九江中山口腔医院”法定微信公众号,点击菜单栏“预约挂号”,选择就诊日期、科室及医生,填写个人信息提交,系统自动反馈预约结果,就诊前1天会收到短信提醒。
4. 现场预约:携带身份证或医疗保险卡至医院一楼导诊台,由导诊护士协助挂号,可现场选择医生或根据病情推荐专科医生,适合不熟悉线上操作的老年患者,医院每日7:30开始现场挂号,建议早到避开高峰。
预约成功后,患者需在就诊当天提前15分钟到院,凭预约短信或身份证在前台登记,领取病历本后即可候诊,如需变更或取消预约,可提前2小时通过原预约渠道操作,避免爽约影响后续预约资格。



